



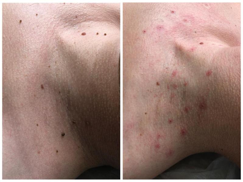
❗️Удаление лазером, жидким азотом, радиоволновым, и хирургическим методом!
✅Удаляем:
- родинки
- папилломы
- липомы
- атеромы
- бородавки
- мозоли
- и другие доброкачественные образования
✅ при необходимости выполняется гистология
📌Удаление образований раз и навсегда. Быстро, безопасно, без рубцов на любой зоне.
📌Мгновенный результат - длительность процедуры 10-40 минут
Лицензия: Л041-01050-61/00325874
т: 8(863)310-07-88
ссылка
@pavlov_medikal
Всем доброго дня! Посоветуйте, пожалуйста, платного педиатра, который может и на дом выезжать, и на прием что б можно было к нему приехать и онлайн задавать вопросы, желательно Аксай/Александровка/Ростов🙏 Или расскажите, как вообще наблюдаете малышей? Исключительно в детской поликлинике?
Хелп! Есть педиатр, который мог бы проконсультировать онлайн?




Расскажу про грудь, пока сижу в электричке.
Еду с консультации с Рустамом Ильясовичем. Мне все понравилось- быстро и четко, доктор меня услышал и обещал все сделать.
Я хочу: коррекцию ареол (они ОГРОМНЫЕ) и подтяжку без имплантов. Одна грудь у меня сильно больше и ниже другой, он обещал это исправить и подарить мне второй размер (сейчас третий).
Меня не волнуют шрамы или что без имплантов грудь со временем немного обвиснет - со временем в нашем теле обвиснет все, это нормально как бы. Не хочу...

Вчера в очередной раз я слышала от пациентки, что она собирается сдать на половые гормоны в рамках обследования организма.
Так вот, сдача на гормоны (половые) при регулярном цикле, это пустая трата времени и денег🙌
Хотите уберечь свое женское здоровье, проходите адекватный обоснованный чек ап.
Это ЦИТОЛОГИЯ с шейки матки
ВПЧ онкогенных типов (25+)
ПЦР на хламидии, трихомонады, гонококки и микоплазму гениталиум
Узи органов малого таза
Узи молочных желез(до 39) /...
Девочки, кто делал лазерную коагуляцию вен на ногах?
Поделитесь, пожалуйста, у кого, как, когда, сколько стоило? Какая реабилитация? Как долго сохраняется результат?
Слышала лучше делать зимой, тк компрессионный трикотаж летом невыносим.
Смотрю на свои ноги и плакать хочется. Предрасположенность к варикозу всегда была. В беременность носила чулки, на кс шла в них же. И вроде сначала все было ок, после родов. Но вот через год это кошмар кошмарный. Вены гроздьями, все в сосудистой сетке. Я даже ...

Как определить размер порции для ребенка?
Вчера поступил вопрос на эту тему, поэтому напишу более подробно.
Как вы помните, для детей до 4 лет есть правило 5532, а старше 4 лет и для взрослых - правило здоровой тарелки.
Но как определить верный объем порции?
В этом нам поможет измерительный прибор, который есть у самого ребенка, а именно его ладонь.
1. Белки:
- Порция мяса, рыбы или птицы должна быть размером с ладошку ребенка (без учета пальцев).
2. Фрукты и овощи:
- Фрукты или ...


За почти 4 года в окружении тяжело больных детей я сделала несколько важных выводов.
Почему-то решила ими поделиться со всеми, вдруг это пригодится 🙏
1. Про кровь
В анализе крови для мамы имеет смысл смотреть лейкоциты, гемоглобин, тромбоциты и нейтрофилы.
Лейкоциты высокие - воспаление идем в педиатру.
Гемоглобин и тромбоциты низкие/высокие - идем к гематологу! Гемоглобин ниже 70 и тромбоциты ниже 100 уже показания к госпитализации.
Нейтрофилы смотрим в процентах, по ним можно определять ви...

СКРИНИНГИ (памятка).
Сохраните, чтоб не потерять.
Сразу скажу, что тут приведены ОБЩИЕ рекомендации! Если у вас есть отягощенная наследственность, пролеченное ранее онкологическое заболевание, факторы риска и тд., то рекомендации могут быть иными!
1. Рак молочной железы.
ЕЖЕГОДНО с 20 лет - осмотр молочных желез у гинеколога.
С 20 до 40 лет - УЗИ молочных желез.
С 40 лет ОДИН РАЗ В ДВА ГОДА (обязательно) - рентгеновская маммография в двух проекциях. Еще лучше МРТ с контрастом.
2. Рак толстой киш...

👩⚕️ СПИСОК ДЕТСКИХ ВРАЧЕЙ 🧑⚕️
УВАЖАЕМЫЕ МАМЫ ‼️
Сейчас многие врачи поменяли место работы. Если вы увидите, что в списке есть врач, который поменял место работы, напишите мне об этом 🙏🏼
✅ Аллерголог:
▫️Бахтин А.В. (Умка Фэмили)
▫️Бойко Е.В. (Авеню, Дворец здоровья)
▫️ Хасанов У.В. (Умка Фэмили)
✅ Гастроэнтеролог:
▫️ Лозовая П.К. (Рождение +, Моя клиника)
▫️ Тевзадзе Т.Р. (ЕвроДон, дворец здоровья)
▫️ Тимофеева О.В. (КДЦ Здоровье)
▫️ Куриленко Е.Е. (Моя клиника)
✅ Гематолог:
▫️Бахтин А.В. (Умка Фэмили)
...