
Всем привет!
Приближается самое сказочное время в году, время волшебства, надежд и чудес.
Я знаю, что тут меня читает много людей с онко диагнозом и еще больше - родственников онко пациентов. И под Новый год я хочу написать несколько удивительных, чудесных историй о людях, которые выиграли в этой войне.
Это далеко не все существующие случаи, разумеется, а лишь те, что я знаю.
И сегодня я хочу начать с истории о мужчине с одним из самых грозных, малоизученных по причине редкости опухолей. С глиобластомой.
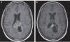
Если коротко, то это опухоль мозга, характеризующаяся своей абсолютной непредсказуемостью в виду огромного количества поломок генов. Их так много, что в рамках диагноза «глиобластома» выделяется еще минимум 6(!!!) молекулярных подвидов, как будто это все - разные заболевания!🙈 в глиобластомах есть мутации, которые встречаются при других опухолях, например, в раке лёгкого, кишке, меланоме и молочной железе. Учёные неплохо изучили и разработали на многие из этих мутаций свои таргетеые препараты, которые прекрасно работают при указанных заболеваниях и…. Совершенно, вообще никак не работают при глиобластоме. Как? А вот так. Потому что важен не только сам факт наличия известной поломки, но и множество других факторов, которые не могут быть учтены, к сожалению. Так вот, случай мужчины уникален тем, что после стандартного пути в виде операции —> лучевой терапии —> химиотерапии —> прогрессирования —> химиотерапии 2 линии —> прогрессирования ему дают «терапию отчаяния» и… получают полный ответ. Посмотрите фото в комментарии. Не надо быть диагностом, чтобы увидеть, что опухоль ушла. Чудо? Да не то слово!
Да, не у всех. Но кто сказал, что это не может быть следующий пациент? Что это не может быть тот самый счастливый случай вашего близкого онко пациента?
Шанс есть всегда, пока мы живы.

Когда у свекра нашли рак легких, то его не хотели лечит, типа уже все
Но один из врачей решил попытаться и вот уже 6й год он на химии раз в месяц . Да, химия это ужасное состояние, но недельку потерпеть можно и жить дальше обычной жизнью
До химии он даже ходить толком не мог
Вот так- «а вдруг сработает» сработало
Сейчас наш родственник с такой опухолью.
Это родной племянник моего дяди (дядя меня вырастил).
Зовут Николай, живет в Ростове. Ему 45, двое детей. На работе на хорошем счету, недавно повысили. Всякие выплаты, типа инвалидности не оформляет, дабы не лишиться работы.
13 лет назад он гостил у родителей в Батайске. Было лето, он шел по огороду, потерял сознание и упал. У всех началась паника. Обследование. Страшный диагноз. Лучшие нейрохирурги Москвы, операция, долгое восстановление (учился читать вместе с первоклашкой дочкой). И полное выздоровление. Восстановление всех навыков. Вернулся на работу. Растит детей. Жена красавица работает учителем английского. Жизнь бьет ключом.
Прошло 13 лет. Опухоль внезапно и очень быстро проросла во все участки мозга. Москва, Питер, отказывают его брать - не операбельно.
Сейчас проходит третью химию в Ростове. Работает (единственное запретили пока ездить за рулем).
Я так надеюсь, что он сможет 🙏
Кстати его мать, родная сестра моего дяди сейчас с нейроэндокринной опухолью желудка. Тоже лечится. Говорит, спровоцировали нервы, на фоне болезни сына 13 лет назад. Она была в ремиссии. У сына рецидив и от нервов у нее пошел рецидив.
Они такие хорошие люди, но такое испытание выпало на их семью 😔
Дай Бог им обоим сил справиться и выйти в ремиссию 🙏🏻
У меня в этом году появился свой личный день победы! Ни на минуту не сомневалась, что всё закончится хорошо 😊 настрой в этом деле много решает, конечно!
Безгранично благодарю врачей ❤️
Очень правильные слова «шанс есть всегда, пока мы живы» ! ❤️
Подскажите пожалуйста в каком учрежденим пациент проходил лечение
Когда у свекра нашли рак легких, то его не хотели лечит, типа уже все
Но один из врачей решил попытаться и вот уже 6й год он на химии раз в месяц . Да, химия это ужасное состояние, но недельку потерпеть можно и жить дальше обычной жизнью
До химии он даже ходить толком не мог
Вот так- «а вдруг сработает» сработало
Мурашки побежали. Всем огромного здоровья и вечной ремиссии!
Спасибо за пост🙏 Вселяет надежду на то, что всё будет хорошо. Мы тоже сейчас очень ждём подобного чуда. Опухоль головного мозга у дочери.
1 января начнём второй курс химиотерапии.
Дарья, подскажите, делать мрт молочных желез нужно в начале цикле? Или там нет такой разницы, как с узи?
Особой разницы нет, но я бы все равно отправляла на 5-7 дни цикла. МРТ с контрастом, разумеется.
Дай бог, чтоб и в наш дом постучало чудо! 🙏💫
У моей сестренки меланома.
Неделю она в паллиативном статусе. Её сейчас не лечат, а продлевают ей жизнь.
А ей всего 23 года вот только исполнилось и доче 2 года.
Боже, слезы на глазах 😭
Я почему- то ранее думала что если диагноз глиобластома-шансов нет совсем
Пример Жанны Фриске и Анастасии Заворотнюк... ((
Вот на них, этих примерах, у меня крепко зашито в сознании, что иногда никакие деньги не помогут((
@i_seme4ka_, более светлый участок практически с середине слева
@buba_hubba, энцефалопатия это общее название различных изменений головного мозга. Поставить ее на основании одного лишь среза на фото нельзя.