
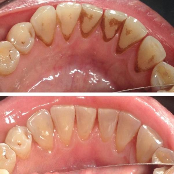
Провожу профессиональную гигиену полости рта и отбеливание зубов. Ультразвук , пескоструйный аппарат Air Flow , Чистка зубов щеткой с полировальной пастой и реминерализующая терапия для укрепления эмали и профилактики кариеса
И название клиники подскажите, посмотрю стоимость лечения заодно
@nadezhdaluchina, Здравствуйте . Стоимость чистки зубов 1000 рублей , это комплексная чистка и ультразвук и пескоструйный аппарат и чистка щетка с пастой
Могу ещё провести реминерализующую терапию 200 рублей за укрепления эмали и профилактики кариеса.
Принимаю в стоматологическом кабинете на июльских днях . Названия нет . Могу отзывы прислать
Цена?