

БЦЖостит
Осложнения прививки БЦЖ
Хочу поделиться с вами нашей историей
Пол года назад моему ребёнку поставили диагноз бцжостит большеберцовый кости
1:20’000 если не ошибаюсь в статистике
И вот мы одни из тех кому так ‘повезло’
Началось все в конце октября 2018 года
В один вечер на ножке под коленкой появилась шишка
Дочери ставили не правильные диагнозы
И соответственно лечили мы не то и не так...
В январе 2019 шишка воспалилась и в городской больнице её вскрыли и поставили диагноз: атерома (тоже ошибочный т.к. образования схожи)
Вычищали содержимое, но ранка не заживала в течении месяца
Почему то наш хирург не отправила на гистологию материал из ранки, а я и не подумала
Мамочки запомните!!! настаивайте чтоб содержимое всего что вырезают/удаляют из ран обязательно отправили на исследование!!!
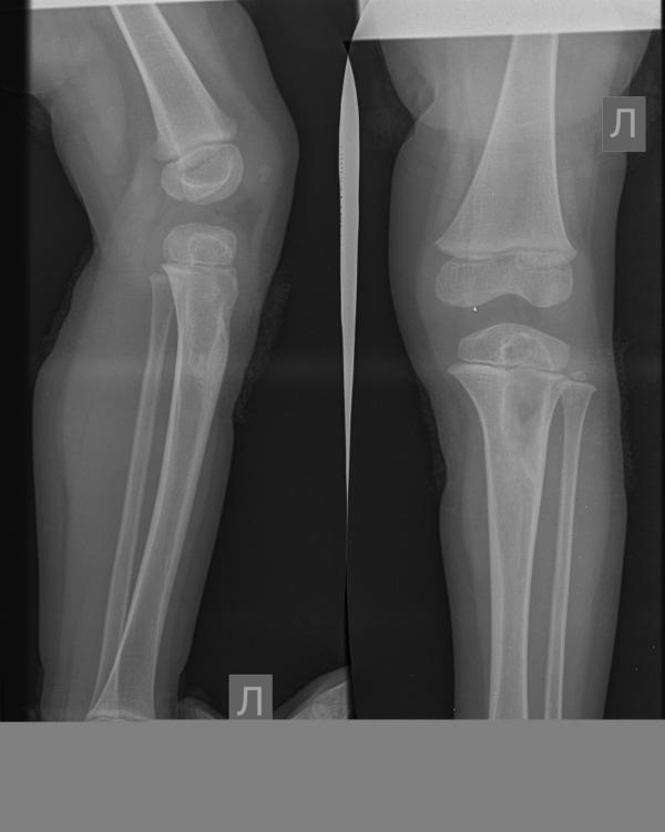
Так вот только в феврале отправили нас на УЗИ и рентген
18 февраля по рентген снимкам предположительно поставили этот страшный диагноз
В тот же день направили в диспансер на консультацию фтизиатра по месту жительства, оттуда в областной диспансер к фтизиатру узкой специализации
19 февраля были на консультации в областной детской клинической больнице у хирурга который нас в итоге и прооперировал.
Он сразу сказал что 95% у нас бцжостит!
И сказал что этому процессу около полу года!
Вот так болезнь протекала не заметно.
Да и никаких симптомов у этого заболевания нет продолжительное время.
Анализы все в норме!
Единственное дочка с августа прошлого года стала часто болеть ОРВИ
Не успевали вылечить.
Мы уже и к иммунологу ходили.
Как оказалось организм боролся с этим недугом, поэтому иммунитет сильно ослаб.
Предполагаем что в августе 2018 начала развиваться болезнь, на тот момент дочке было 2,4 (прививку ставили в роддоме!!!) что послужило причиной, почему спустя почти два с половиной года начался этот процесс сейчас уже не узнать
Вообще операции такого рода делают в Санкт Петербурге в ФГБУ "СПб НИИФ"
Не слушайте своих врачей в своём городе просите чтоб оформляли квоту в Питер.
Меня уговорили оперироваться в нашем городе.
Наши врачи умеют делать такие операции, один из врачей ЧОДКБ ездил в Питер и учился оперировать у самого Мушкина А.Ю.
Не знаю правильное ли это решение, но что сделано....
Затем месяц подготовки к операции пока сдали все анализы, прошли все необходимые обследования
В марте дочь прооперировали!
Операция длилась больше часа 😱
Суть в том что в происходит разрушение кости
На наших снимках уже была дырочка в косточке 1,5*0,9см и 4,5*2см как мне сказали уплотнение ткани т.е. ткани больные и тоже в скором времени разрушаться
Была угроза сломать ногу и ребёнку запретили ходить, бегать, прыгать вообще до операции.
Ножка очень сильно пострадала.
Вычистили значительную часть зоны роста и также пострадала зона в колене
А это значит что ребёнок находится в группе риска тяжелой деформации нижних конечностей (оперированная ножка уже длиннее на пару мм)
Осталась полая трубка (её заполнили материалом - биосид) и пока косточка не восстановится ребёнку нельзя вставать на ногу, ходить около полугода.
Бегать, прыгать - два года.
Материал: части косточки и ткани отправили на гистологию.
В конце марта получили ответ.
Ничего не обнаружили, потому что в костях осень сложно найти эти микобактерии.
Мы решили отправить стекла-блоки в питер на исследование. Забирали лично блоки из паталого-анатомической службы и почтой отправили в СПБ НИИФ
Оттуда пришёл ответ и диагноз они подтвердили
Далее легли в больницу, череда комиссий анализов.... по сей день мы проходим химиотерапию
Лечение прописали на год!
Это далеко не конец...
И даже не половина Нашего пути 😔
#бцжостит #бцжит #прививки #БЦЖ #осложненияпрививки



Спасибо, что поделились своей историей🙏 сейчас о прививках говорят только хорошее и когда у твоего ребенка появляется осложнение после них, то никто этого подтверждать не хочет и, кажется, что всё плохое о прививках это выдуманные истории... У меня у первого после гепатита б обсыпало всего с ног до головы мокнущими болячками, сделали прививку в два месяца, до года проходили болячки. А доча после БЦЖ(делали в месяц), через ровно двое суток попала в реанимацию с двусторонней пневмонией,не сворачивалась кровь, шоковое состояние, перикардит,гипоксия и куча всего в довесок... Только в реанимации делали акцент на прививку, что такое может быть, но после этого нигде не зафиксировали , теперь очень страшно делать прививки😨 вам сил и терпения, пусть доча скорее выздоравливает🙏
Господи... сил Вам и терпения! Малышке здоровья, крепкого, сибирского! Пусть поборет этот недуг и живет длинной счастливой жизнью ❤️❤️❤️❤️🙏🏼🙏🏼🙏🏼🙏🏼
Охренеть! Простите за выражение... но это жесть. В очередной раз убеждаюсь, что прививки это лотерея. Перестала рисковать со старшим после 5 лет, а младший без одной прививки...
Дай Бог вам здоровья, верьте, пути Господни неисповедимы...
Сил вам и терпения, скорейшего выздоровления малышке. Спасибо, что нашли в себе силы написать эту статью.
Держитесь!
Возможно, вас порадует новость, что в Израиле научились выращивать костную ткань из собственного жира человека. Ожидается, что зарегистрируют и внедрят такое лечение через три года, но я читала, что сейчас они ищут добровольцев, кто готов попробовать эту операцию. Проведено уже более 40 успешных.
Вот тут информация есть. ссылка
Крепитесь🙏доченьке крепкого здоровья!вы все это преодоление и все будет хорошо!верьте👼🏻❤
О господи...🙏🙏🙏сил вам...как я боюсь всего,что связано с прививками..
Какой кошмар. А где она могла туберкулёзом кости заболеть? У меня знакомая вот так болела
@elina_alya, диаскин тест отрицательный и антител против дикого туберкулеза не обнаружили в гистологии. Значит это вакцина.
@bukbr1991, там по ДНК обычно доказывают какого рода микобактерия, антитела к дикому как раз и на культивируемый возникнут (для того бцж и ставится) странно что после прививки и антител нет
Бедная малышка! Скорейшего восстановления, а вам терпения!💪🌸
Дай бог дочке здоровья 🙏 единственное я не поняла как он проявлялся? Боли какие-то были или просто вот эта шишка на коленке?
Дочку ничего не беспокоило, она на шишку не жаловалась даже. Мы наблюдали она и наклонялась на ногу и ползала.
У всех по разному
У кого то детки до операции на обезболивающих
Охренеть! Простите за выражение... но это жесть. В очередной раз убеждаюсь, что прививки это лотерея. Перестала рисковать со старшим после 5 лет, а младший без одной прививки...
Дай Бог вам здоровья, верьте, пути Господни неисповедимы...