



22.11.25.
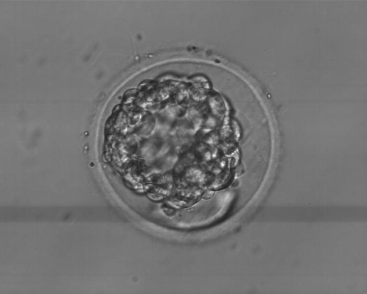
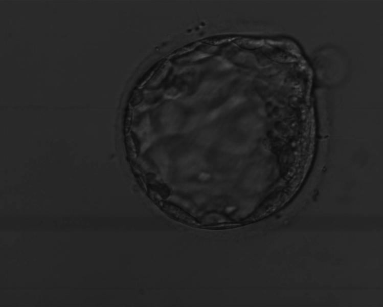
Эмбрион Сергеевич номер 2 со мной 😊
Наша вторая и последняя пятидневка 4 ВВ.
(Ещё остались три семидневки).
Перед протоколом полип удален, Хэ пролечен, вес снижен, физио сделано, молитвы начитаны, верим надеемся и ждём 🙏
Новая клиника, новый врач, новая тактика)
🤞🤞🤞
Подарили соломинку, в которой хранился эмбрион, и на почту скинули его фото в оболочке и после хэтчинга, такая красивая клеточка)🤩



Удачи вам 🙏🏼🍀
У какого врача там наблюдаетесь? Какая тактика идет?
Спасибо)
Была в Авиценне, получили квоту в линии жизни (клиника Махотиных), перевезли туда эмбрионов)
Наблюдаюсь там у Интуловой Анны Константиновны, перенос делала Махотина Наталья Евгеньевна, заведующая)
Крио было так же в ЕЦ, но окно имплантантации открыли до овуляции утрожестаном и в день переноса укололи в живот декапептил)
Как прикольно) надо будет тоже соломинку попросить)))
Малыш, держись крепче за мамочку! ❤️