
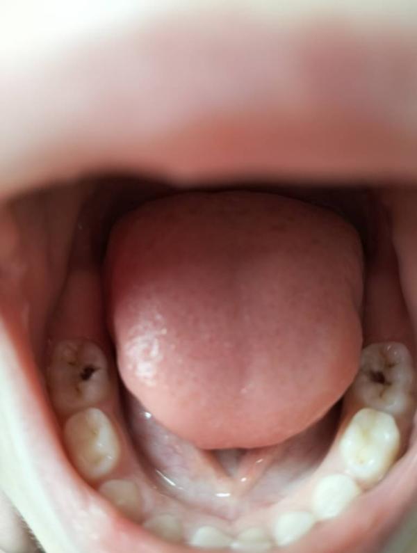
Скажите пожалуйста,стоит ли лечить молочные зубы у ребенка в 4 года,если они в дальнейшем вроде как сами выпадут?



Обязательно .... иначе может быть не поправимый результат . Инфекция , свищ , удаление , новые зубы могут пострадать , челюсть не так начать формироваться . Не затягивайте , да просто неприятно когда в зубах еда застревает
Если не лечить- зуб быстро пойдёт под удаление, хорошое если зачаток коренного не пострадает от инфекции. Зуб удалите, скоро вылезет постоянная 6ка и зубной ряд поедет, и привет пластины и брекеты ☹️
Да и побыстрее, могут воспаление быть в виде свища и удаление
Стоит конечно! Мы в 8 лет эти же вылечили, не известно сколько будут стоять, пока крепкие, выпадать не собираются.
У старшего в /11-12 лет только выпали. Обязательно лечить.
Эти зубы будут до 9-10 лет, вы ещё с ними в школу пойдёте. Мы лечили. Если не лечить будут болеть
От такого, до пульпита месяц может быть. У младшего один полностью разрушился. Остальные лечили.
Конечно
Вам уже давно пора бы, так и до пульпита дойдет
Да, нужно лечить. Они не скоро выпадут, а вот до пульпита может и рукой подать.
Да,все вылечили.Сказали,сильно запустили.Жевательные зубы выпадут только в 10 лет,их обязательно надо лечить было.Хорошо,до нерва не дошло.
Спасибо всем за ответы))