
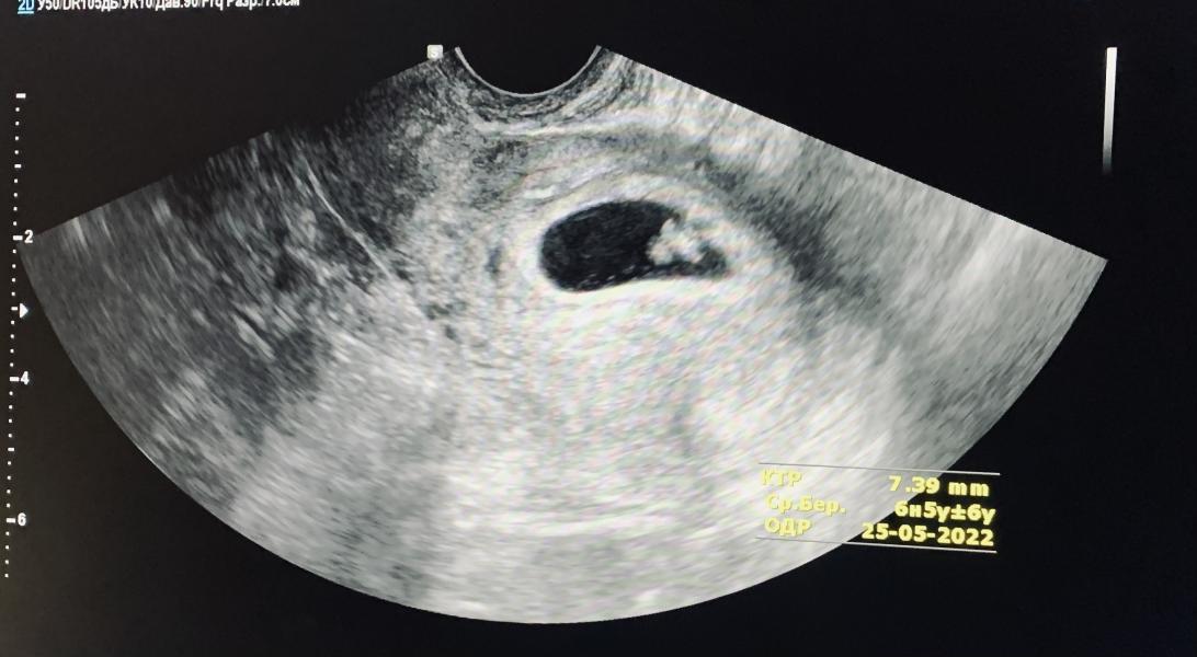
Бы на узи, назначали повторное 24 сентября. Так как увидели только ПО, теперь видно все, эмбриончик на месте, растёт наше сокровище, сердечко стучит 🙏😭🥰
Пожаловалась врачу на боли во всем тазу, то ли это кости болят, то ли от это что-то другое. Врач не увидел проблем никаких. Сказал, что это возможно так перестраивается организм, что на кости позвоночника идёт большая большая нагрузка, весь организм сейчас работает только на эмбриончика, придётся потерпеть , да и Сказал, мне нужно больше лежать.
P.S первое фото крохи😍
экран разрешили сфоткать, у них сломался принтер 🥺