А вот интересно, малышке сейчас 7 месяцев и она прям очень активная!!)) Ей все надо, визжит и пищит, если что-то не так, вообщем шилопоп)) Мама моя говорит, что я такой не была, но я и спокойная сейчас) и вот когда она подрастет, будет такая же гиперактивная и шилопоп? 🤪 или ещё есть шансы, что пойдёт спокойной в меня? 😁
Старший был активный, активным и остаётся по сей день. Младший такой же. Ожидаю, что и останется активным, если судить по старшему. Характеры разные у детей, но они оба активные.
Я была очень спокойной. Но сейчас совсем нет. Муж тоже был спокойный,но он таким и остался) а сын получился торпедой🤷не знаю чего ждать😁
Ой, мой в зависимости от интереса может посидеть на жопке ровно, а так вообще шилопоп сумасшедший
@vita_lina пока не ползал, то руками и ногами дрыгал, потом ползал по всей квартире - не остановить)
Интересно мнение. Возможно у кого-то так зовут детей.
Нам с мужем ооочень нравятся имена: Софья,София и СофиЯ.
Я долго думала и пришла к выводу, что как бы сильно мне нравилось имя Софья, оно классно звучит с отчеством, но могут возникнуть проблемы в документах и переводах, и естественно одна ошибка человека заполняющего доки может повлечь кучу неприятностей, времени и денег.
Соответственно остаётся София и СофиЯ, одинаково пишется, лёгкий транслит, но блин, с отчеством мне хоть убейте не нравит...


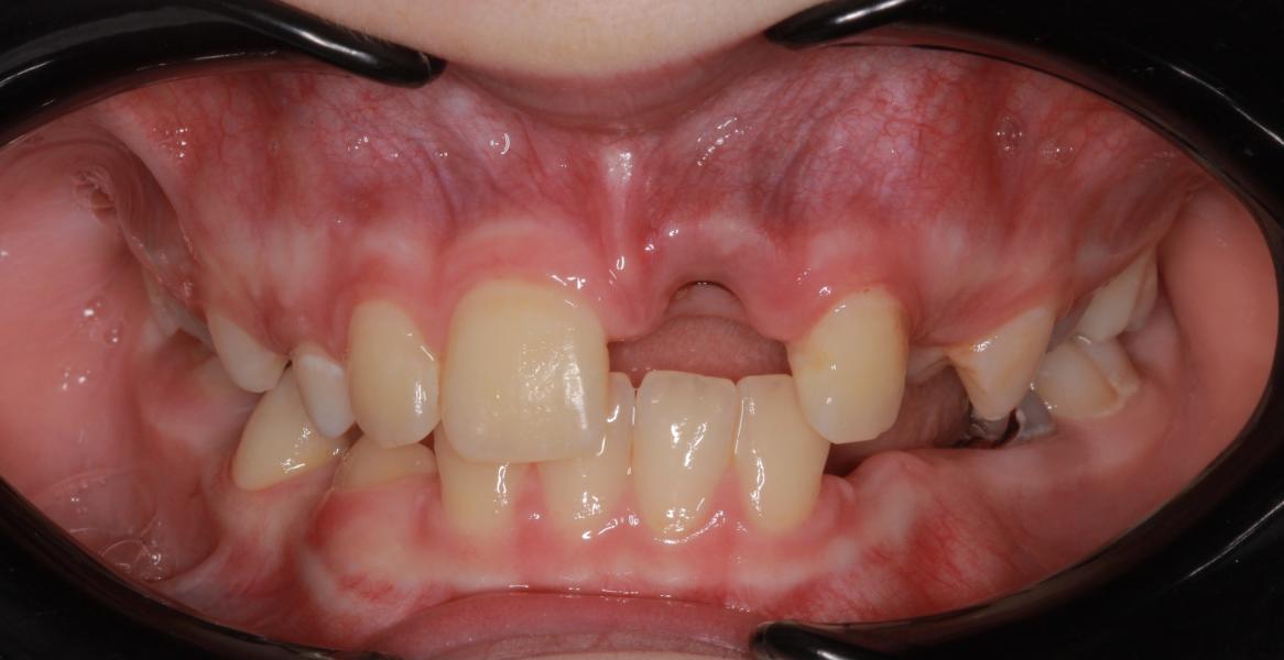
⠀ ⠀ ⠀ ⠀ ⠀ ⠀ ⠀ ⠀ ⠀ ⠀ ⠀ ⠀ ⠀ ⠀ ⠀ ⠀ ⠀ ⠀ ⠀ ⠀ ⠀ ⠀ ⠀⠀ Упал🧼💫, очнулся👀, зуба🦷 нет.
Пришли сегодня ко мне пациенты которые упустили время к сожалению((, они могли бы сразу обратиться и спасти зуб!! Но они обратились спустя 3 дня , к сожалению уже ничего не поделаешь .
Что делать если выбит зуб❓(Выпал)
Пишу 🖌для вас памятку, сохраняйте🖇 , отправляйте друзьям,знакомым ,чтоб как можно больше людей знали как действовать в подобных ситуациях . ⠀ ⠀ ⠀ ⠀ ⠀ ⠀ ⠀ ⠀ ⠀ ⠀ ⠀ ⠀ ⠀ ⠀ ⠀ ⠀ ⠀ ⠀ ⠀ ⠀ 📛Не поддавайтесь панике,...
Как и начинаются многие посты здесь:
«Девочки, вы тут все знаете»😂
Проблема Такая: вчера обнаружила, что в районе щиколотки у меня одна нога опухла, в вокруг косточки при прикосновении боль. На ночь намазала мазью Быструмгель, утром и днём боли не было, ну отечность не прошла. Сейчас опять появилась боль и отечность сохраняется. Подскажите, к какому врачу идти с этим, ибо за всю жизнь я была три раза на больничном, один больничный по беременности и родам, один с приступом гастритом, и один с орви)
Моя дочка была спокойная только в роддоме. Как только попали домой, всё - держите меня семеро!😄 Шилопопка. И такая и сейчас, и думаю, такая будет активная и по жизни.