
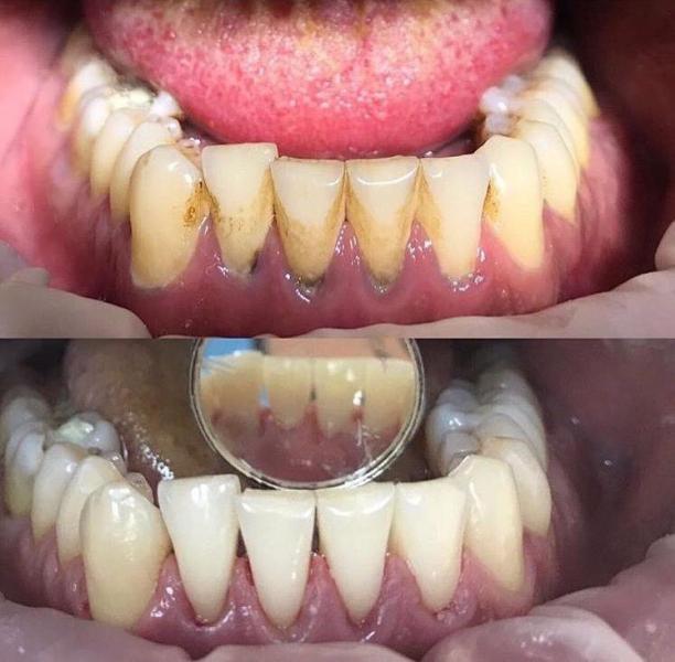
Провожу профессиональную гигиену полости рта и отбеливание зубов. Ультразвук , пескоструйный аппарат Air Flow , Чистка зубов щеткой с полировальной пастой и реминерализующая терапия для укрепления эмали и профилактики кариеса
Увидела))) скажите ваше объявление ещё актуально? Как можно записаться?
Здравствуйте . Да , актуально . Записаться можно здесь в лс
Напишите пожалуйста в л/с стоимость и где вы находитесь.
Принимаю в стоматологическом кабинете на июльских днях , около жуль верна .
В профессиональную гигиену полости рта входит :
1. Ультразвук ( удаление твёрдого зубного налета -камней )
2 Чистка зубов пескоструйным аппаратом air flow ( для удаления налёта с контактных поверхностей зубов , после неё зубы приобретают естественный оттенок
3 Чистка зубов щетка с полировачной пастой
По стоимости 1000 рублей
Реминерализующая терапия ( фторлак) - для укрепления эмали и профилактики кариеса - 200 рублей
Добрый вечер)ещё можно записаться?