

Сегодня был последний день, когда…
Когда я носила брекеты😭❤️🩹
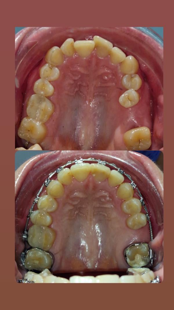
Ровно 1 год и 10 месяцев, разница огромная
Добби свободен)))))
На втором фото до и после верхней челюсти

По отзывам @lolizet пролечили среднему зубы под севораном, коронки на жевательные и еще уздечку подрезали. Врач Асанбек Мырзабекович, можете бесплатно пойти на осмотр, принимает по живой очереди во 2ГДБ, вт-чт с 14:00-17:00 на 4эт 405каб, и там же можно сделать снимок панорамный 3000тг. И уже дальше решаете план лечения вместе с ним и какая примерно сумма выходит, в уанДент насчитали нам 530К и 20зубов, а тут вышло в два раза меньше ну и Зубов 12 надо было лечить. Передние еще отреставрировали к...
Девочки, в возрасте моей младшей реально без севорана вылечить зубы? Она орет дурниной на любого врача, как только заикаюсь про стоматолога так вообще 😩😩😩 поделитесь кто как лечил? Не знаю почему, но я жутко боюсь севорана, все надеюсь что под местной анестезией получится
Всем здравствуйте 👋
Посоветуйте хорошую зубную пасту и щетки для детей. Смотрю, а на зубах налет желтый у старших 🤦♀️ думаю надо менять пасту и щетки.



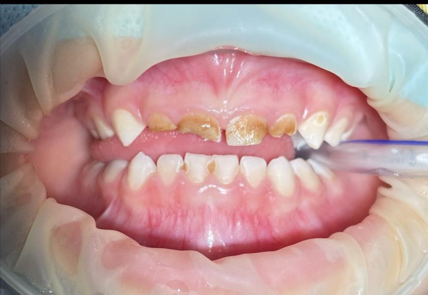
Сегодня сыну в 8 утра под севораном пролечили зубы… В стоматологии Алтай Дент. Ребята молодцы👍 Все сделали отлично, грамотно, быстро, четко❤️
Зрелище конечно не из приятных, когда сын засыпал, глаза закатывались, в конце начал сопротивляться… Мое материнское сердце очень сильно болело, поплакала потом.
Я думала, что быстро засыпают только в фильмах, в жизни оказывается тоже, хватило всего 1 минуты🫠
У сына было 8 кариесных зубов, плюс полная чистка: вышло 250.000 с копейками🥹
Отошел от наркоз...
Астанаааа!!!
Девочки, ну всё, пошёл обратный отсчёт до школы 😅
В Твинс Дент сейчас как раз акция для школьников до 1 сентября — чекап зубов 🦷✨
В него входит:
— осмотр,
— профчистка на микромоторе (не больно и без повреждений для эмали🤭),
— консультация с рекомендациями,
— фотопротокол
Всего 10.000 тг
Короче, пока детки ещё на каникулах и не началась эта учебная круговерть — можно спокойно всё проверить и быть уверенными, что к 1 сентября зубы в порядке 🙌
Ловите номер для записи: 870182612...
Беру по рекомендации стоматолога зубную пасту Курапрокс. Стоимость такая что когда заканчивается разрезаю тюбик и использую остатки😬. Енешка бы сказала сразу видно колхоз 😆 . Когда ходим кафе я забираю бутылку воды, остатки еды, она каждый раз мне замечание делает. Ендігі раз скажу что я эко активистка

В кои то веке сделали младшему бесплатно в поликлинике аллергоскрин. Там же дали список бесплатных стоматологических клиник. Мне бы ваш совет где лучше сделать? Возможно здесь есть те кто посещал один из ниже перечисленных клиник. Безопасно ли там лечить? Например я боюсь, участковый врач уверял что боятся нет причин. Такие же врачи и методы лечения.
Рахмет!🌷
Сходили вылечили зубки дочке🥹🥹🥹🙏🙏🙏
Хочу написать честный отзыв/рекомендацию
В общем, она жаловалась на боли в зубах. Посмотрела много клиник, решили сходить на консультацию в стоматологию Meta Dent.
Врач осмотр сделала все подсказала дали время подумать. Не хотели долго искать ходить но я все же для себя все в интернете прорыла прочитала все отзывы, плюсы минусы, и решили все таки к ним сходить.
Анализы бесплатно сдали, экг сделали там же бесплатно. Только узи сердца потребовалось, его сдела...

Ну что, дорогие Мамочки Астаны!
Вы готовы?)
По многочисленным просьбам запускаем новую акцию «Здоровая улыбка моего ребенка»
Всего за 10.000 тг
Вы можете получить полную консультацию врача стоматолога:
✨узнать правильно ли развивается прикус у ребенка
✨все ли хорошо с зубками
✨рекомендации по питанию ребенка
✨подбор средств гигиены подходящих для Вашего ребенка
ВХОДИТ:
💡чистка всех Зубов
💡рентген диагностика (1-4 снимка)
💡фотопротокол при возможности проведения
💡готовый план лечения зуб...