maryam.stom
maryam.stom
maryam.stom·Мама двоих (4 года, 9 лет)

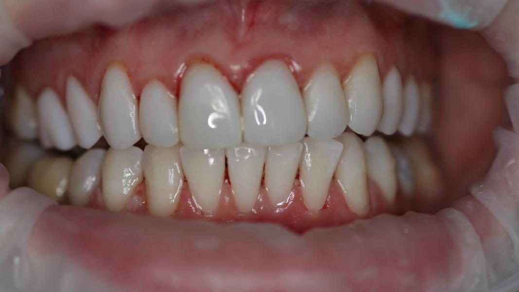
Чистка и отбеливание зубов: мой результат и впечатления

post image 1
post image 2
post image 3
post image 4

Девочки🤍

Провели чистку+отбелтвание🦷

И наш шикарный результат😍

2

Комментарии

pregcat
lenta.dlya.buketa·Мама сына-младенца

А сколько стоит?

Нравится Ответить
maryam.stom
maryam.stom·Мама двоих (4 года, 9 лет)

2т чистка

5т отбеливание

Нравится Ответить