Съемные пластины для детей: как дисциплина влияет на результат

post image 1
post image 2
post image 3
post image 4

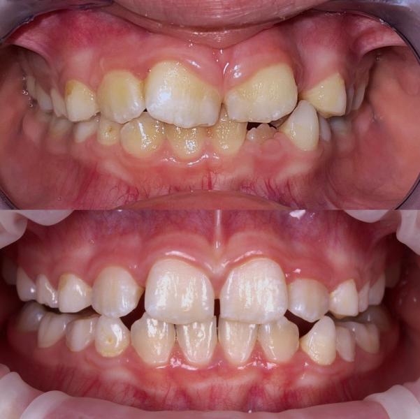
Очередной промежуточный результат лечения юного пациента с помощью съемных пластин.

Дисциплина играет немаловажную роль в достижении хороших результатов у детей.

Лечение продолжается.

2

Комментариев ещё никто не написал.