maryam.stom
maryam.stom
maryam.stom·Мама двоих (4 года, 9 лет)

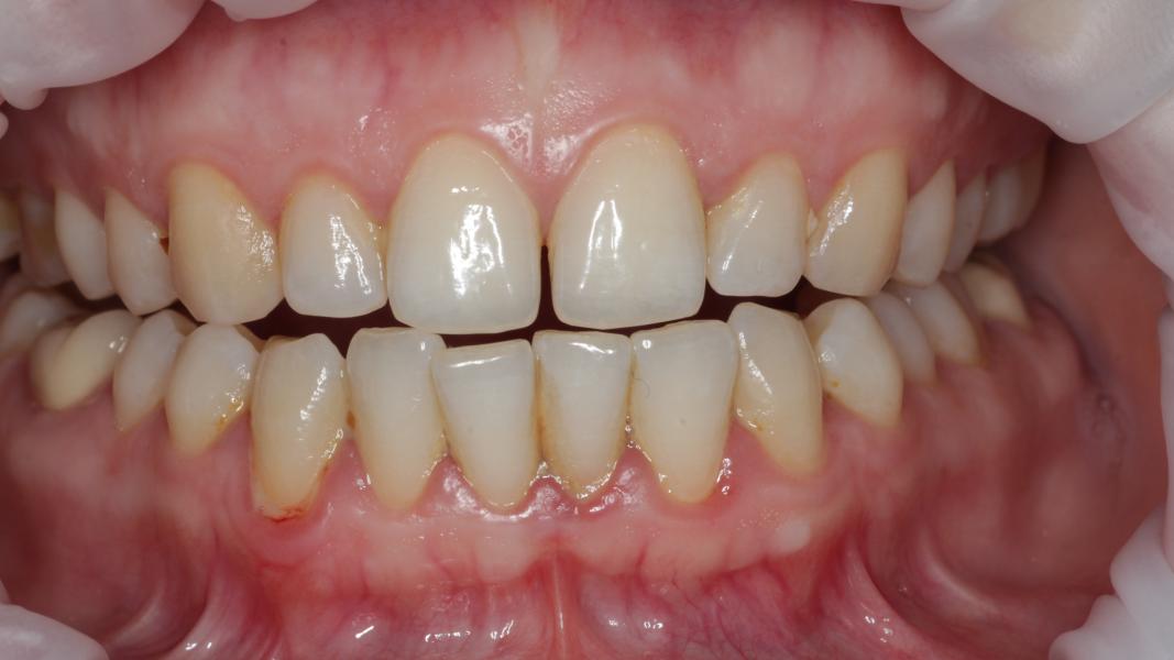
Профессиональная чистка и отбеливание зубов: мой результат

post image 1
post image 2
post image 3
post image 4

Девочки привет🤍

Провели проф чистку🦷

И отбеливание🦷

И наш нереальный результат👏

3

Комментарии

bagizha
Багижа|Посредник|Китай·Мама двоих (3 года, 8 лет)

Сыну скоро 9 лет, можно будет к вам записаться на проф чистку ?

Нравится Ответить
maryam.stom
maryam.stom·Мама двоих (4 года, 9 лет)

Здравствуйте

Я не принимаю детей🤍

Нравится Ответить
marjana_mrs
Маржана·Мама троих детей

Здравствуйте

Сколько стоит отбеливание?

Нравится Ответить
maryam.stom
maryam.stom·Мама двоих (4 года, 9 лет)

Здравствуйте

2т чистка

5т отбеливание

Нравится Ответить