


Еще немного магии
Дистальный прикус, щелчки в сустваве, некрасивый профиль.
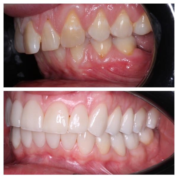
Проведено ортодонтическое лечение и протезирование
Расширили, выдвинули челюсть, профиль лица тоже изменился, но пациентка не дала согласие на публикацию лица. Рецессии так же сами ушли, потому что улучшая положение зубов, корни заходят в костную ткань.
#запискизубного
Завтра освободилось время у терапевта в 11.00 и 12.30, все же помнят, что гигиену надо делать раз в 6 месяцев 😅
И профилактика намного дешевле лечения. Лечить кариес намного дешевле , чем пульпит
Лечить пульпит намного дешевле, чем поставить имплант😉
#запискизубного



Добрый вечер! Подскажите, пожалуйста, какое протезирование проводилось в данном случае?
У меня похожая история: щелчки в суставе, глубокий прикус, верхние зубы чуть развернуты назад, стираемость передних нижних зубов.
Поставили брекеты год назад. В процессе лечения накладками вызвали мне воспаление сустава.
Сейчас добились щели между нижними и верхними зубами. Сделали слепок сегодня, впереди сплинт на 1.5-2месяца. Дальше хотят вкладки на все жевательные зубы…🙄 у меня даже не все эти зубы лечены…по вашему мнению, оправданно ли надевать на них накладки? Есть ли возможность достигнуть смыкания нужного для сустава без накладок? Двигая зубы брекетами?
Сегодня врач сказал мне что щелчки после лечения останутся скорее всего. После этого мое доверие к врачу было потеряно…ведь именно из-за щелчков мне все это делали
@orthodontist,
Спасибо огромное
Да, вот про про эту процедуру мне тоже сказал только второй врач. В моей клинике ее делать не собираются.
Увы.
@barberry_honey, у меня в клинике аксио делаем и тоже в цифре уже положение меняем, на сканы накладываем кт
Поскольку все в цифре уже делаем
@orthodontist, да вот так же у второго врача в клинике.
Ох, и попала же я похоже…
Спасибо! Я поняла траекторию после мрт и кт
Здравствуйте! А здесь была поведена операция или брекетами исправляли прикус?
Считаю, что нужно больше таких постов 👌❤️ это действительно красиво!
ого круто спасибо
есть повод задуматься, зубы чищу раз в 3 месяца, у меня ужасные рецессии
я думаю это после лечения элайнерами
скажите у вас же есть онлайн ? я хотела выдвинуть челюсть, но плаксин (известный в мск) сказал что нет места и ничего не получится, а директор кап smile сказала все ок и сделала мне (
а что такое утрата анатомии? по фото вроде бы исходные зубы ок?
@emmyy, стертые зубы , на половину практически. Да, можете в личку написать. Да, Александра знаю . Я работаю в другой концепции. Надо кт смотреть
Это магия!
Мне вчера сказали,что у меня изменился овал лица и оно стало как будто снизу легче,чем было!работает,Женьк!!!
Женя, сделала отбеливание пациентка? Зубы прям белые стали
У нее утрачена анатомия была, если анатомия норм, то и отбеливание можно сделать
От того как ушла рецессия - я в шоке, думала, только операция спасает😯
Это от перемещений зависит. Если я по кт виду, что я заведу корень в костную ткань , то до лечения рецессии не трогаем. Если я понимаю, что я не изменю положение корня/ зуба, чтоб рецессия закрылась , то перед ортодонтией делается операция по закрытию рецссесий
Как всегда вау!🤩
Я всё равно не понимаю как так зубы меняют цвет и форму??? 🤌🏼 но приду точно
В данном кейсе это виниры) если своя анатомия хорошая, то отбеливанием обходимся
Красота 😍 подскажите, а до какого возраста вы ставите брекиты? Мне один ортодонт на приеме, сказала что в моем возрасте уже поздно, мне 35 лет
Я в 39 поставила элайнеры, это было лучшее решение. Очень жаль, что кто-то пугает возрастом, потому что упускаешь время и миришься с неудобствами и болью
В смысле, мне 39, уже месяц в элайнерах. Ставила у автора поста ❤️❤️❤️❤️
Ортодонтам все возрасты покорны!
Парадокс. Ничего не лечить- очень дорого!🤣