Отбеливание зубов Amazing Premium: результаты и отзывы

post image 1
post image 2
post image 3
post image 4

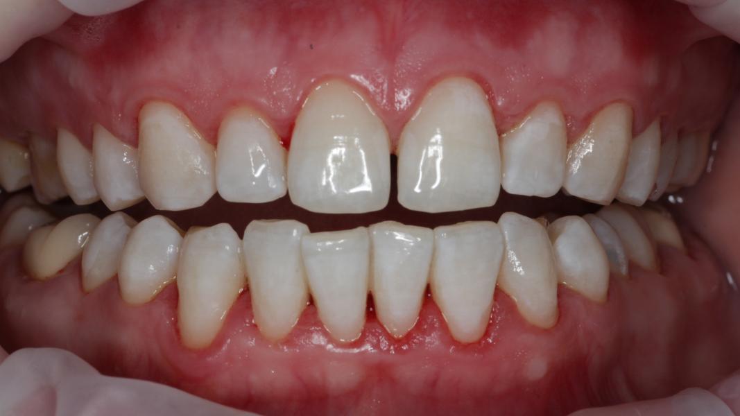
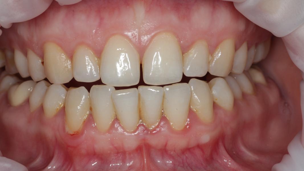
Чистка+отбеливание🦷

Амазинг премиум🔥

Какой результат🤤

1

Комментарии

Патя·Мама троих детей

Можно узнать цену за эти процедуры?😍

Нравится Ответить
maryam.stom·Мама двоих (4 года, 9 лет)

Здравствуйте

2т чистка

5т отбеливание

Нравится Ответить