

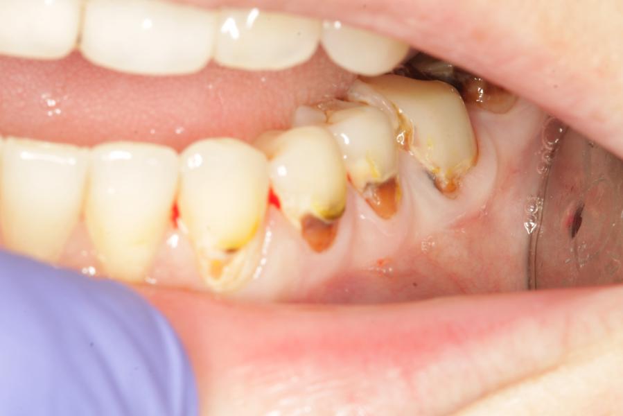
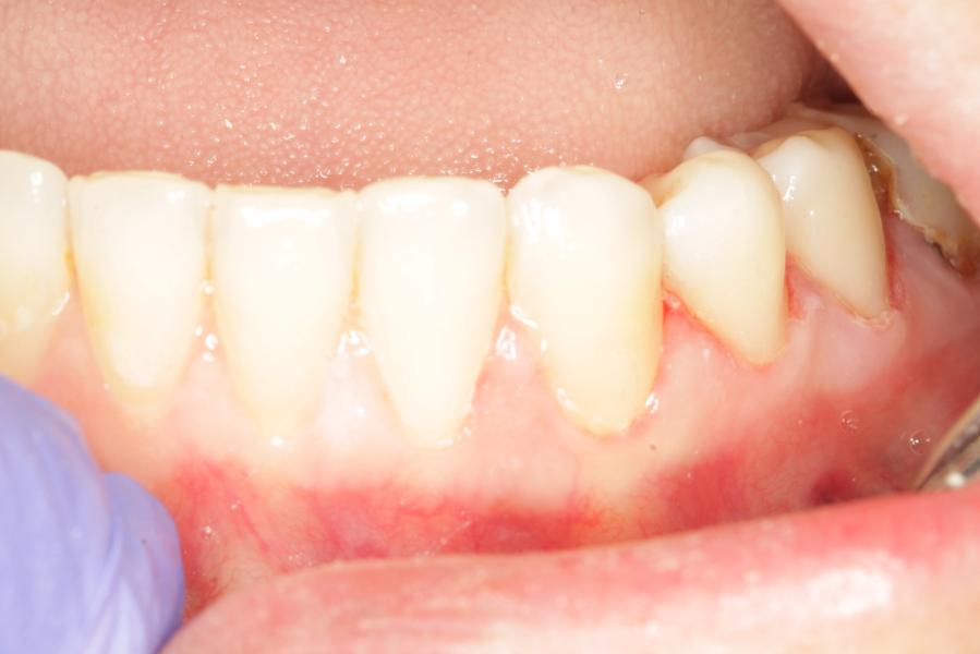
Решила поделится с вами с сегодняшним клиническим случаем. Пациентка не успела пролечить зубы и узнала о беременности. Мы ждали || триместра(21 неделя), чтобы начать лечение. Зубы сильно реагировали на горячее/хододное.
Милые , любимые лечите зубы вовремя ❤️🫂



А какое лечение провели? У меня так же после родов?