Марина Стоматолог
dr.marina_maksudovna
Марина Стоматолог

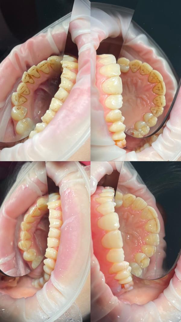
Результат чистки зубов: до и после верхняя и нижняя челюсти

post image

Чистка зубов

Результат до/после верхняя и нижняя челюсти

14.11.2025
1

Комментарии

guseinovaa_konditer
Амина Кондитер·Мама двоих (7 лет, 10 лет)

а можно узнать стоимость процедуры ?

14.11.2025 Нравится Ответить
dr.marina_maksudovna

3000₽

14.11.2025 Нравится Ответить