maryam.stom
maryam.stom
maryam.stom·Мама двоих (4 года, 9 лет)

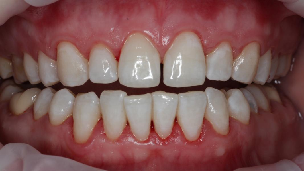
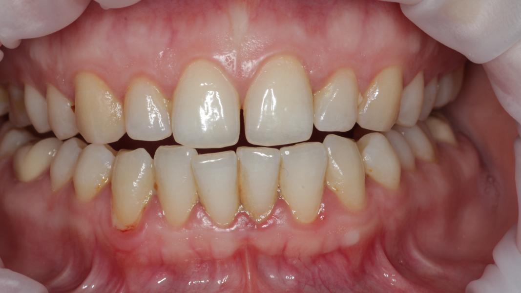
Профессиональная чистка и отбеливание зубов: наш результат

post image 1
post image 2
post image 3
post image 4

Мы провели проф чистку+отбеливание🦷

Амазинг премиум🔥

И наш крутой результат🔥

13.11.2025

Комментариев ещё никто не написал.