





Слава современной стоматологии !
Спасли наши зубки 🥹 В 2,5 года такое … я в шоке . И чистили вроде хорошо … 🙀
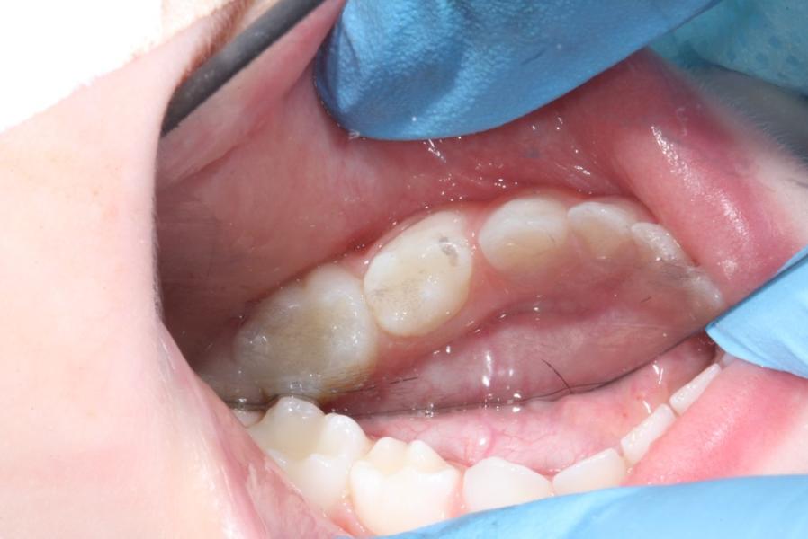
В общем 2,5 часа во сне и готово . Дорого , но не больно. 4 пульпита , 2 кариеса . 6 герметизаций фиссур . Первые три фото это после . Листайте там в процессе и До 😱
Кому интересно Классик Дент , врач Мусин на Авиационной . Мы очень довольны . И анестезиолог быстро работает и врач 🫶🏻
Меня так трясло, когда младшей в 2 года под наркозом зубы лечили. Но тоже там без вариантов было у нас.
А какой наркоз был? Севоран?
Тоже предстоит лечение 2,5 часа под наркозом
@loginova_ma, ого 😨 спасибо мы были на консультации в атис кидс , сыну насчитали 90 тр
Я думаю эти клиники похожи
@julia8812koless, ну у нас 4 пульпита и 2 кариеса плюс герметизация фиссур) поэтому такая цена
Как вы решились на такой длинный наркоз в таком возрасте? Страшно пздц ((
А без оперативного лечения эти молочные зубы повлияли бы на коренные? Плохая генетика или что?
Я не знаю ) врач говорит долгое ГВ . Но тут все в кучу видимо . А как без наркоза . Зубы передние уже начали крошиться . Остаться до 7 лет без передних зубов так себе перспектива . Ну и вообще инфекция у ребенка во рту …. Такое себе . Седация газом самое безопасное из всего что пока придумали .
Офигеть конечно 😢