

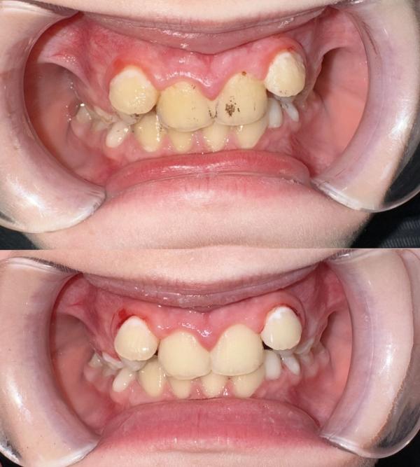
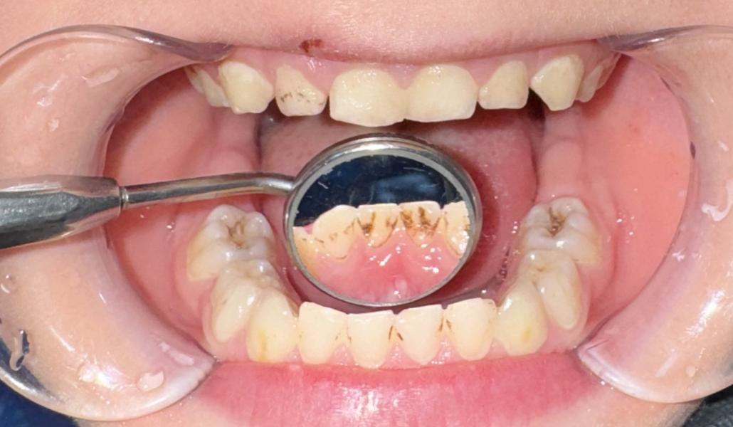
Профессиональная гигиена полости рта 🦷
Каждому ребенку показана профессиональная гигиена раз в полгода. Это вам также поможет вовремя выявить кариес или др. проблемы и начать лечение на ранней стадии
Стоимость 2000₽
Консультация бесплатная 🌹



@ekulia.84, ближайщее окошко могу вам предложить во вторник, к 11:00 либо 12:00
@ekulia.84, отправьте пожалуйста данные для записи, можно личн сообщением либо What
Вы же ортодонт если я правильно помню? Подскажите какой снимок и где надо сделать чтобы подойти на консультацию с дочками