
Просто капец , будьте осторожны, пневмония может быть и без температуры.
Мальчик сопливит дней 10 , промывала и все , появился кашель пару дней назад , ничего особо не давала так как считаю что сиропы бесполезны в таком возрасте , сегодня ночью был кашель каждые 10 -15 минут , спать не мог , сегодня утром мне показалось что дыхание другое , пошла не снимок и оказывается односторонняя пневмония 😟назначили лечение , в стационар не легли так как я сама могу делать уколы , год назад так же лежали в стационаре и ради одного укола в день сейчас не стала укладываться , плюс ингаляции с пульмикортом.



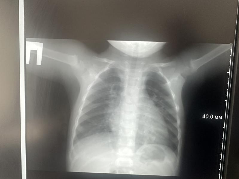
Вот точно такая же картина у нас , кашель буквально два дня как начался , не ожидала что будет пневмония , но по дыханию поняла что , что то не так , по этому всегда думаю лучше перебдеть и лишний раз побежать к врачу или снимок сделать
Блин, я сама тож кашляю, уже 2 недели. Дети тож кашляют, темпы нет
Я сама заболела и думаю вдруг у меня тоже так без симптомов
Да щас новый вид пневмонии . Прошлый раз мальчик болел .
По дыханию понять можно .
@cvetoceeek, обратитесь, пожалуйста, к другому врачу. У мелкой недавно было, также сказала, что мокрота гуляет, а оказалось начинающая пневмония
@fatimka.., а какие симптомы у вас были?
@cvetoceeek, кашляла сильно, мокрота, насморк, невысокая температура несколько дней
Скорейшего выздоровления вам🤲 да, без симптомная пневмония гуляет
Даааа, я сама была в диком шоке!
Ни температуры ничего..
кашель один день который проявился во время обеденного сна , и на второй уже утром ей стало плохо
Не могу дышать мама говорила, сделала ингаляцию вижу не помогает.. отвела в поликлинику быстро чтобы ей сделали укол
Думала у неё бронхит обострился
А оттуда нас сразу в больницу отправили, уголки рта уже синели от нехватки кислорода
Сделали снимок там уже сказали пневмония и что нас не отпускают они.. пару дней остались , можно сказать ей 3 й день стало полностью хорошо, бегала прыгала там в больнице😹
но лечение конечно же продолжили как и положено все 10 дней.
Очаг был маленький совсем, но зато как ей стало хуже сразу с одышкой.
Без температуры.
После этого вообще стресс когда начинают болеть.