

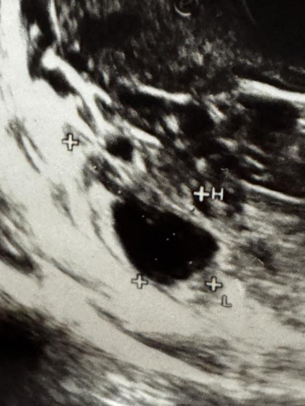
Хелп! Как вы думаете на фото фолликул несовулировавший или все таки желтое тело? 🧐
Если сомнения, что укол хгч не сработал ((



@chernobrovaya, спасибо огромное!! Ваши слова вчера удерживали меня от окончательно опускания рук 😂🙏
Сдайте прогестерон , будет точно ясно фолик это не лопнувший или желтое тело . А жидкость есть в позадиматочном , кровоток в нем какой ?
@elaan, пришел прогестерон 22 уже 🤩 значит сработало таки
@elaan, ох дай бог бы, но то что сработало, уже как будто делает на шаг ближе, чем если бы переросло в кисту конечно
Жёлтое тело определяют по кровотоку в нём. Поэтому тут не понятно
День цикла уже большой, делала укол хгч, но он похоже не сработал
Больше похоже на ЖТ, но надо кровоток смотреть.