maryam.stom
maryam.stom
maryam.stom·Мама двоих (4 года, 9 лет)

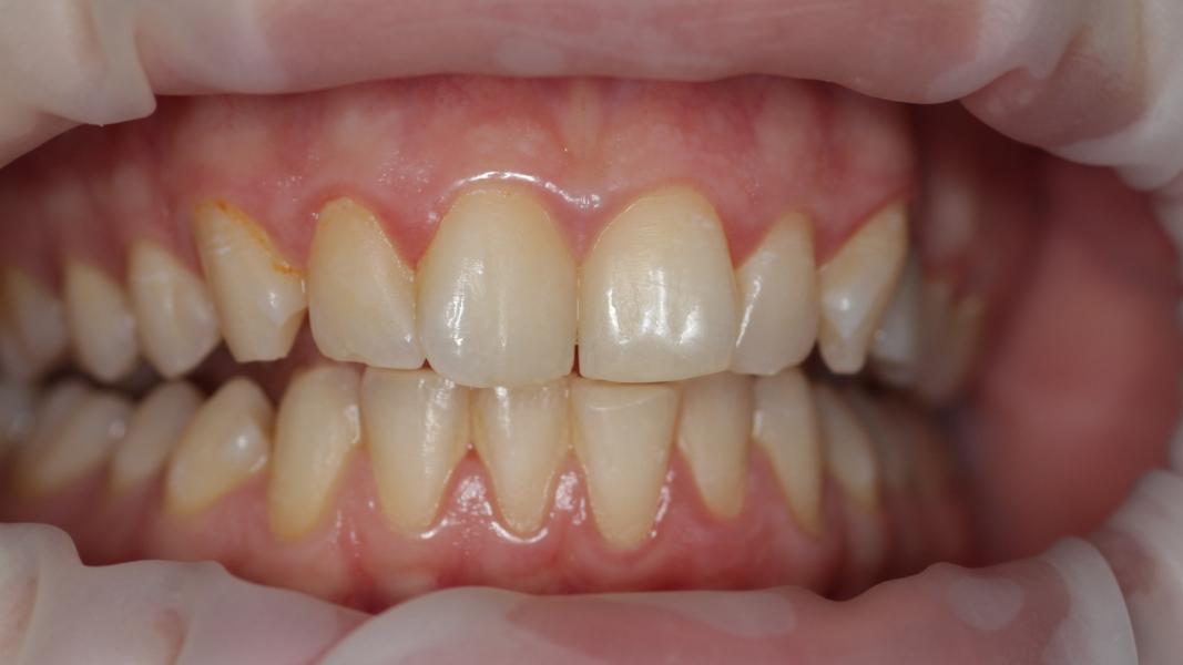
Профессиональная чистка и отбеливание зубов: наш результат

post image 1
post image 2
post image 3

Девочки привет🤍

Провела

Проф чистку+отбеливание🦷

И наш результат🤤

07.10.2025
1

Комментарии

amina77

А вы обучаете чистке и отбеливанию

12.10.2025 Нравится Ответить
maryam.stom
maryam.stom·Мама двоих (4 года, 9 лет)

Вы стоматолог? Здравствуйте

12.10.2025 Нравится Ответить
amina77

Здравствуйте

12.10.2025 Нравится Ответить
cherry05

Можно Ваш номер?

07.10.2025 Нравится Ответить
maryam.stom
maryam.stom·Мама двоих (4 года, 9 лет)

89894477781 Марьям

07.10.2025 Нравится Ответить
cherry05

Да )

07.10.2025 Нравится Ответить
cherry05

Здравствуйте! А на завтра есть окошко на чистку?

07.10.2025 Нравится Ответить
maryam.stom
maryam.stom·Мама двоих (4 года, 9 лет)

Здравствуйте

07.10.2025 Нравится Ответить
maryam.stom
maryam.stom·Мама двоих (4 года, 9 лет)

В 14.00 будет удобно?

07.10.2025 Нравится Ответить
agilova
🥰🥰🥰·Мама двоих (4 года, 6 лет)

Сколько стоит чиста+отбеливание?

07.10.2025 Нравится Ответить
maryam.stom
maryam.stom·Мама двоих (4 года, 9 лет)

Здравствуйте

2т чистка

4500 отбеливание

07.10.2025 Нравится Ответить