
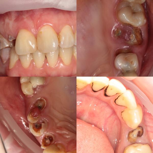
У пациентки 16 неделя беременности. Будем проводить комплексную чистку и удаление корешков , т.к имеются большие воспаления и плюс оставленные инфицированные корни - это дополнительный источник инфекции. После родов будем проводить комплексное лечение и устанавливать импланты



Да , конечно. Возможно, даже удастся спасти 🤗
Если есть снимок,отправьте на вотсап , номер с шапке профиля 🫶🏻
@dr.gasanovaaa, спасти вряд ли удастся мне кажется
Снимка нет
Напишу к вам скоро
А удаление корешков без надреза проводится ? 🥹
У меня зуб сломался и корни остались