
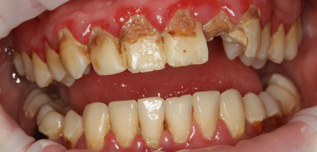
Девочки, милые, я вас прошу, не запускайте свое здоровье до такого состояния🙏 Приходите на плановый осмотр ваших зубов раз в полгода ТЕМ БОЛЕЕ, если вы планируете беременность 😭
Консультация бесплатная, и чем раньше вы начнете лечение - тем дешевле оно вам обойдётся
А при записи через MOMLIFE для вас будет приятная скидка🤍



Вот я так была после родов🫠