

Травма или повреждение зуба могут случиться в самый неожиданный момент - и в такой ситуации важна быстрая помощь. Даже если у наших врачей запись на месяц вперед, мы всегда на связи и готовы прийти на помощь оперативно.
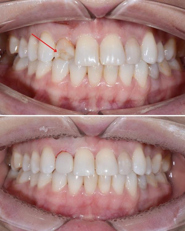
Недавно стоматолог Колесник К. А. успешно провела реставрацию поврежденного зуба.
Результат: зуб сохранён, пациент не испытывает дискомфорта.
Заботьтесь о своём здоровье и не откладывайте визит к стоматологу!