
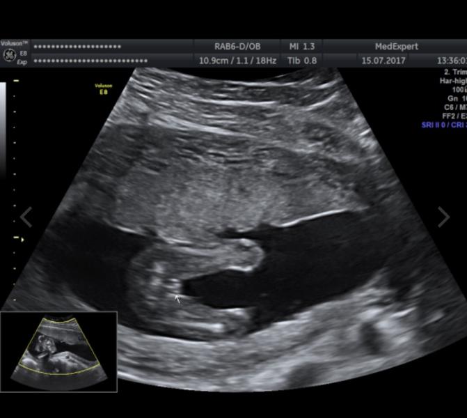
Девочки , все привет . Ходила на узи в 16 недель . Просто для себя. Вид снизу был такой (фото не мое). Узист точно не сказала кто , но сказала что писюн не вижу , но может прятать . Как думаете кто по фото ?
@vaa_sti, @ks06, спасибо за ответы ☺️
@zainabmakhdieva, @juliachacha, @ev.v, @katrin7788, @pasyana, @danoncnik, @makarova_roza, @yusssta, @sunnydaybitch, @dianaliyour, @tofumama, @anastaleksaaa, @svet_insp, @ruza20, @aliyaaaaaaaaaaaaa, спасибо девочки за ответы 😍🥰
недавно писала пост про подобную ситуацию свою: ссылка
Спасибо . В любом случае на втором скрининге уже точно видно будет ) будем ждать 😁
Тут кофейное зёрнышко))
Девочка 👧))
На девочку похожа)) у меня мальчики оба ) и я видела в 15 недель какая там 🥕торчит на этом сроке 😄
Странный узист😅 на таком сроке у пацана уже огого😂 у вас девочка конечно)
Девочка, у меня с 3 такое же узи, как не пыталась я яйки там рассмотреть на первом узи, но у нас снова девчуля)
Девочка конечно
У мальчика бы уже писюн во всю торчал
Девочка, у мальчиков там уже нормально так торчит на этом сроке 🤣