
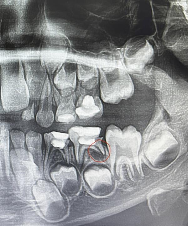
Посоветуйте,что делать,ситуация такая,дочери 6 лет,вчера отвалилась пломба с пятерки внизу,мы эту пломбу еще два года назад в бебиленд ставили, и в бебиленд ей не до конца прочистили каналы, так вот сегодня ездили на консультацию в другую клинику насчет этого зуба,нам сказали что под корнем образовался гнойный мешочек (на фото обвела красным) ,и зуб у нее немного болит из-за этого,т.е есть воспаление,нам предложили прочистить каналы,заложить лекарство и через неделю поставить пломбу,но они не дают гарантию на пломбу,либо удалять и ставить распорку.Я вот думаю корни почистят,лекарство положат,а если потом будет отек,нам же всё-равно придется удалять зуб,а если нет,поставим пломбу,и будем ходить пока пломба не отвалится,или пока зуб не выпадет,а выпадет он не скоро,либо удалить сейчас,и распорки поставить.



Если бы это был мой ребёнок, поехала бы в Уфу, чтобы вылечить зуб. Все так легко удаляют детям зубы, никто не думает, что пища будет хуже пережевываться длительное время, это влияет как минимум на жкт, даже на лицо и его формирование. Зубы сохранять максимально долго насколько это возможно, без зуба идёт дистрофия костной ткани.