
Поделитесь, пожалуйста, кто где ставил брекеты
И по лечению, сколько по деньгам у вас по итогу вышло, сколько длилось, как вам впечатление вообще и советы мб какие
Хочу сходить на консультацию
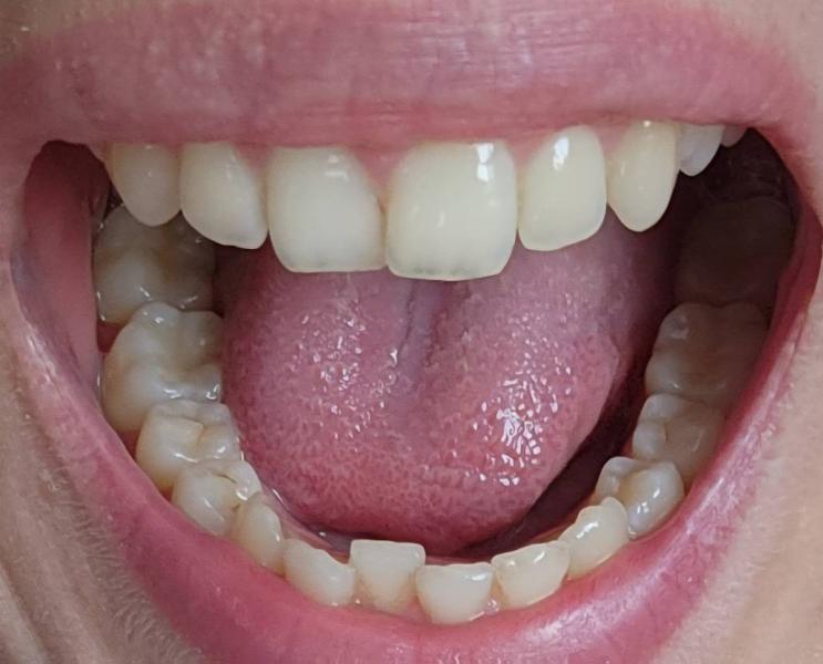
У меня зубы сейчас в таком состоянии:



Я сейчас прохожу лечение) ходила к разным ортодонтам, искала своего 1,5 года. Наконец нашла по рекомендации, доверилась. Прошел год с момента лечения) Всем довольна. Перед лечением удалила все 4 восьмерки. Один врач предлагала удалить здоровые 4ки🤦🏻♀️Говорила, какой у меня сложный случай😃даже не стала рассматривать этого врача. Оказалось, ничего сложного.
По цене верх и низ по 52800. Активация раз в 2 месяца в среднем 7500. И в конце на снятие, ретейнеры и капы нужно будет не меньше 60т
Можете скинуть контакт, у кого лечение по итогу проходите?
@ri___ri а в какой клинике? В инете написано, что она аж в 3 работает
Я по рекомендации к Алиеву Артуру Алиевичу пошла, клиника «ОртоАрт» на Некрасова. Но я элайнеры ставлю, по цене за все около 340 будет
У меня была сильная скученность нижних зубов. 8ки удалены давно. Все ортодонты предлагали удалить 1 нижний зуб(здоровый🤯) и с брекетами выровнять нижний ряд. И только один ортодонт предложил растянуть зубы по всей нижней челюсти. Так я и сделала. Хожу год в брекетах, нижний ряд идеально выровнялся. К новому году уже снимем их. Прохожу лечение в клинике First ortho у Желондзиовского П.А. Для меня он лучший!
Знакомые советовали двух врачей. Я сходила на консультацию к каждому, один сказал только с удалением четвёрок. Второй обещал начать без удаления, но сказал будет дольше. И пришлось бы удалять, если бы не было прогресса лечения. В итоге выбрала второго)
И до брекетов надо было удалить все восьмёрки, они у меня в десне были
Да, я сейчас на стадии удаления восьмерок как раз, 2 из 4 удалила
@ksuuu02, я не екб, по вашему городу не посоветую(
А про удаление поделилась, так как тема довольно универсальная
Тарасова М.И. Биомед-Дент 🌸