Зульхиджа
zusharap
Зульхиджа·Мама двоих (4 года, 9 лет)
post image

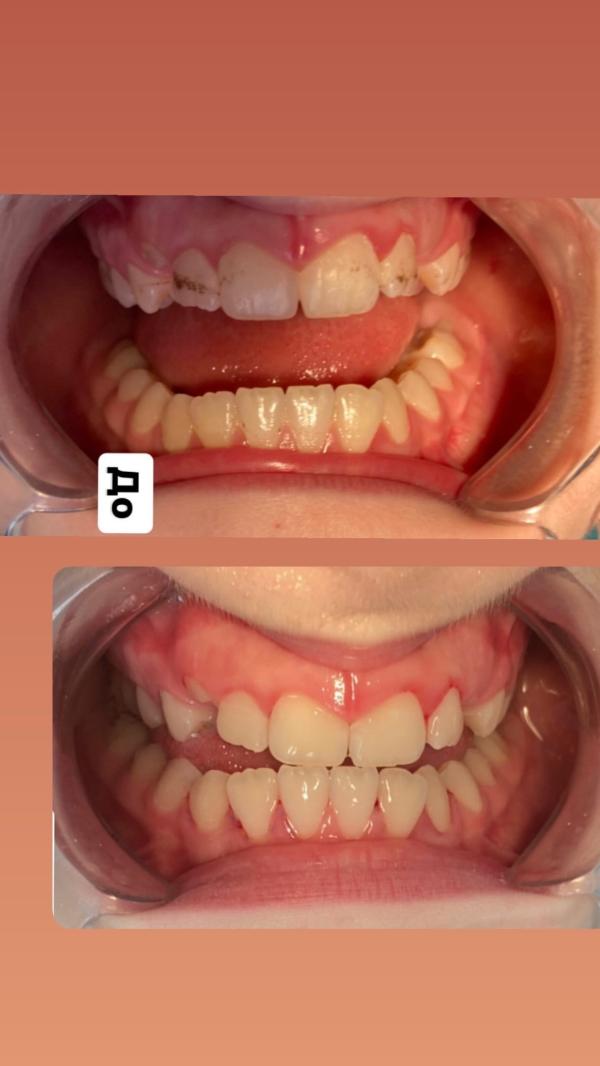
Профессиональная гигиена полости рта 🦷

Для записи: 89886365886

Адрес: Танкаева 15

03.07.2025
3

Комментарии

makhmoods_wife
полиглот до мозга костей·Мама троих детей

Для взрослых?

03.07.2025 Нравится Ответить
zusharap
Зульхиджа·Мама двоих (4 года, 9 лет)

Верно 🌺

03.07.2025 Нравится Ответить