
Стоматологи, есть гранулема? Или воспаление в кости? 🙏
Нерв умер сказали и поставили пока кальций
Джипити аман болсын😂
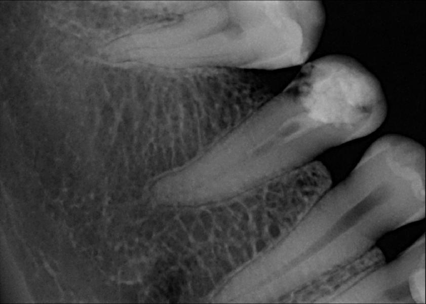
Явной гранулёмы не видно,
🔹 Но есть подозрение на воспаление в апикальной области, особенно с учётом разрушенной коронковой части.
🔹 Лучше уточнить у стоматолога: возможно, потребуется эндодонтическое лечение (если зуб подлежит восстановлению) или удаление.
Да видно, где затемнение
У меня тоже гранулема, но я с ней хожу уже 2 года
Врач моя сказала, как только заболит, тогда удалять