

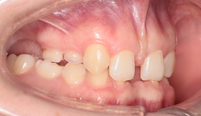
Сейчас работаю с очень редким клиническим случаем: отсутствие 11 постоянных зубов, генетически обусловленным (то есть у кого-то у родителей есть эта проблема с рождения).
Это значит, что у пациента НЕТ и НЕ будет половины зубов. На фото видны зубы, но большинство из них МОЛОЧНЫЕ, которые скоро выпадут. От того , что нет зачатков постоянных зубов происходит деформация челюстей; страдает эстетическая функция и, безусловно, пациент не может эффективно пережевывать пищу.
Пациенту 16 лет. Я рада, что пациент попал ко мне сейчас, не позднее. Все ортодонты ДО МЕНЯ отправляли еще подрасти и дождаться 18 лет, когда можно проводить имплантацию. НО❗️ я приверженец мягкого поэтапного профилактического лечения: когда мы не ждём, пока сформируется еще бОльшая патология, а потихоньку решаем маленькие проблемы. Так как чем раньше начнешь, тем легче будет создать правильную функцию и эстетику.
Мы с нашими опытными врачами собрали консилиум. Подтвердили мое предположение, что ИМЕННО сейчас ортодонт должен начать лечение, чтобы к 18 годам мы имели хорошую кость челюстей и условия для имплантации и протезирования. Работа непростая и невероятно интересная, потому что мы делаем функцию и красоту человеку, который в самом начале своего жизненного пути. Я счастлива быть причастной к этому. Пациенту понравился мой щадящий, логичный зубосохраняющий план лечения и мы начали этот путь длиною в 4 года.
Подскажите пожалуйста ,если у ребёнка в 9 лет только 1 молочный зуб выпал, все остальные на месте и не шатаются, что делать? Дважды были у разных стоматологов в 7 и 8 лет, нам просто сказали, мол, ждите, всё нормально
Я в своей практике встречала не раз позднюю смену зубов, когда центральные зубы меняются в 9 лет. Поэтому это может быть вариант нормы.
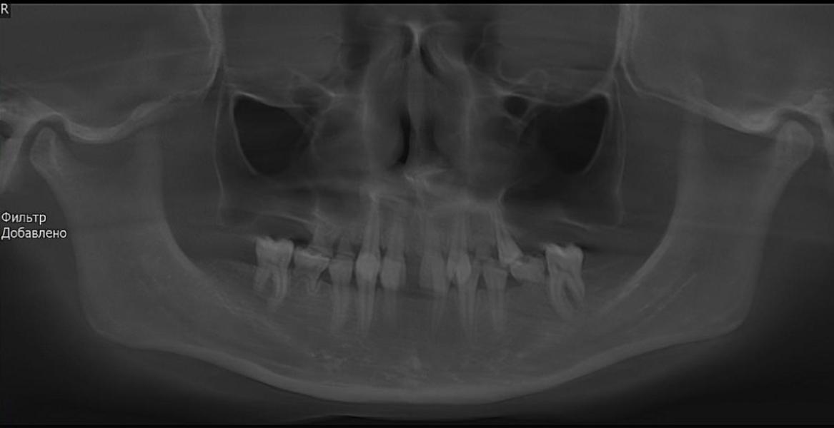
Но я лучше отправлю на снимок (КТ челюстей) в идеале, чтобы успокоиться и не переживать. То есть со снимком прийти на консультацию к стоматологу. Лучше к ортодонту.