


Случай из практики
Я, как опытный ортодонт, люблю случаи посложнее и поинтереснее. Сейчас расскажу об одном из таких. Я часто ставлю брекеты НЕ для эстетики, а для улучшения здоровья. Итак.
Пациенту 12 лет. Жалобы на незначительную неровность зубов. Смотрю в полости рта и вижу, что есть еще молочный зуб. Все остальные зубы постоянные. Значит, тут что-то не то.
Делаем трехмерный снимок. Зачаток постоянного зуба развернут в иную сторону от правильной оси прорезывания и буквально «таранит» корни постоянного зуба. То есть зачаток зуба, который должен был вырасти после молочного, не прорежется сам. И тем более сейчас этот зачаток, пытаясь прорезаться, повреждает корни большого и важного постоянного зуба (шестерки).
Наши действия:
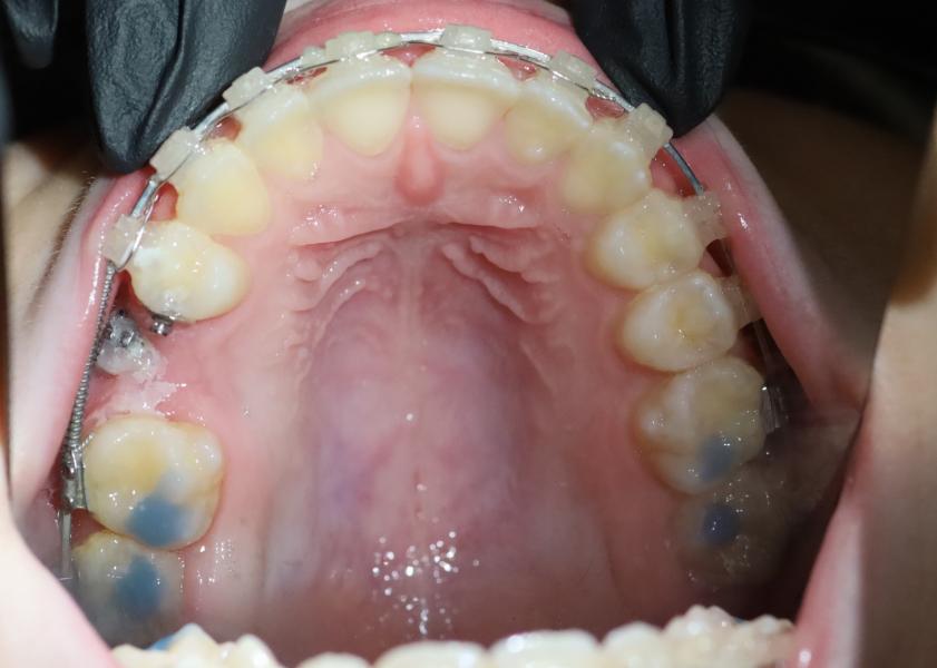
Удалили молочный зуб. Поставили брекеты для того, чтобы создать избыток места для зачатка постоянного зуба и ждали. Очень хотели, чтобы зачаток долгожданного зуба прорезался сам. Но спустя 6 месяцев ничего не произошло, зуб сам прорезаться не стал. И под контролем рентгена мы приняли решение сделать хирургический доступ к этому зачатку. И «насильно» стали тянуть его в нужном нам направлении.
Сейчас зуб (новый, который тянули) стоит в зубном ряду и функционирует! Ничего не угрожает здоровью соседнего зуба(шестерке). За шестеркой будем наблюдать. Должен прослужить долгие годы.
Мораль такова: даже если ничего не беспокоит, пожалуйста, обратитесь к ортодонту. Именно к ортодонту. Это поможет избавить вас от неизвестных вам проблем. Обезопасить себя. Будьте здоровы!
Сожалею. Зубы приходится удерживать всю жизнь, чтобы они не возвращались в исходное положение. К сожалению. 😞
Вы рассказали почти мою историю. Вырвали два передних во втором классе, и тоже беззубая ходила долго. Два сверхкомплектных мешали вылезти, но у мне ортодонт сделал пластинку с муляжами, сначала два носила, потом один. Годам к 12-13 выросли.
В 30 лет поставила брекеты. Сецчас ставят ретейнеры и ничего не уезжает.
Но, главное. У старшего три месяца не растет передний зуб, чую неладное, делаем снимок и … сверхкомплектный зуб! ☹️
Ой. 😬 главное, чтобы это не являлось проблемой для вас и остальных зубов. А так, в целом , это может быть вариантом нормы для вас. Главное исключить неприятности по снимку с ортодонтом.
@dr.poliakova_a вы знаете, я пожалуй как решу кое какие моменты, к вам запишусь, даже интересно стало сделать снимок и посмотреть почему так)
У меня молочный зуб был до 27 лет, за ним вырос коренной вторым рядом в 18 лет. вырвали молочный и вытянули коренной за пол года) хотя ортодонт мне в 14 лет сказал что все коренные я носила пластинки 🙈
О почти как у меня! Молочный зуб долго не выпадал (передний резец!), удалили без снимка. Ждали года два и тишина. Не буду никого в этом обвинять 🙃 Я в то время уже в 6 классе училась, одноклассники начали дразнить «беззубая». Оказалось, что у меня сверхкомплектный уродец-зуб лежал горизонтально и мешал коренному резцу встать на место. Делали операцию по удалению из кости лишнего зуба. Время было упущено, у меня соседние зубы поехали( опять операция- ставим брекет систему и вытягиваем еще один зуб из десны. Короче я всю школу промаялась, только в университете сняла брекеты. А потом все равно разбежались зубы 😭 хожу с кривыми, устала