



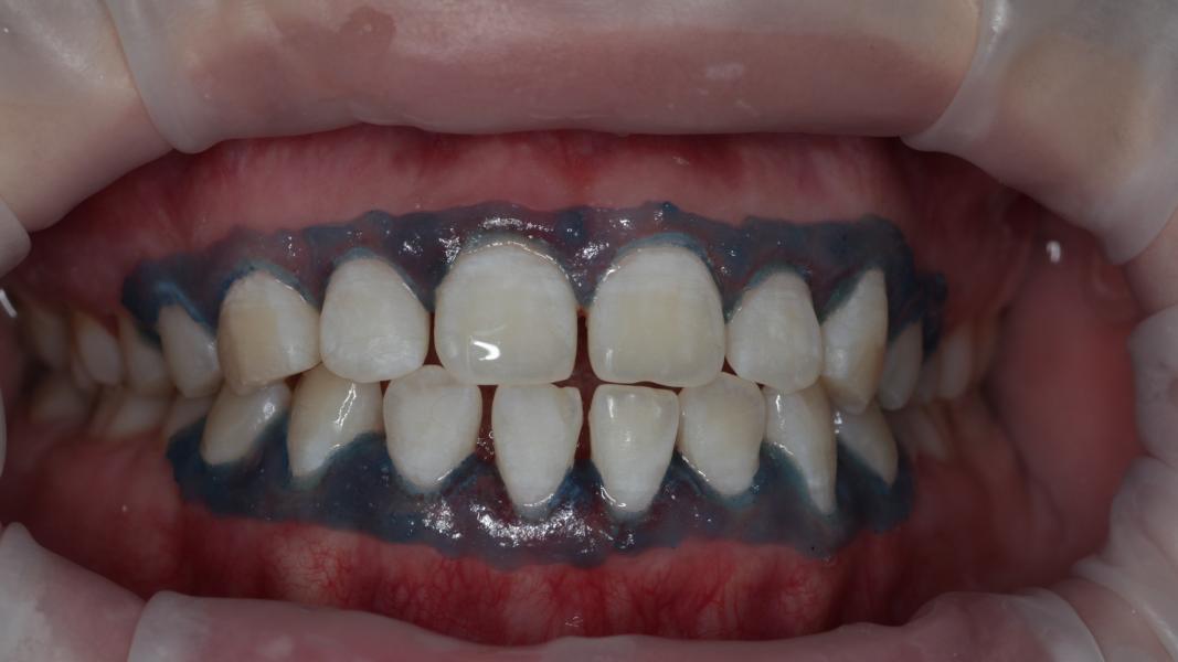
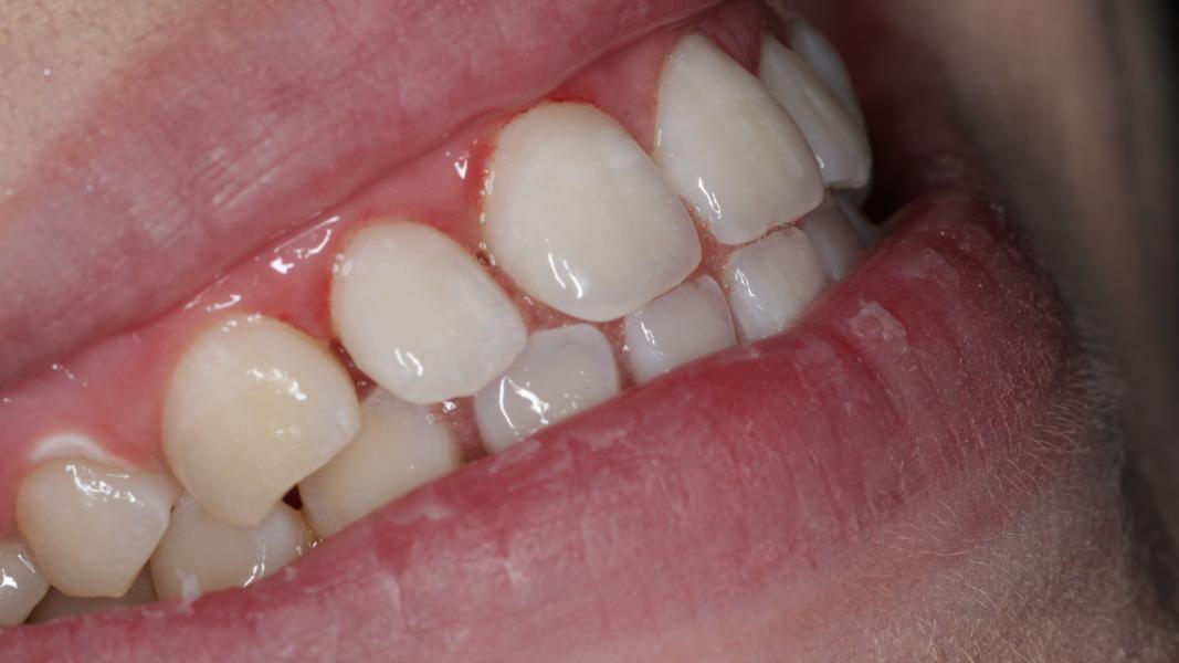
Проф чистка+отбеливание🦷
И наш шикарный результат✨



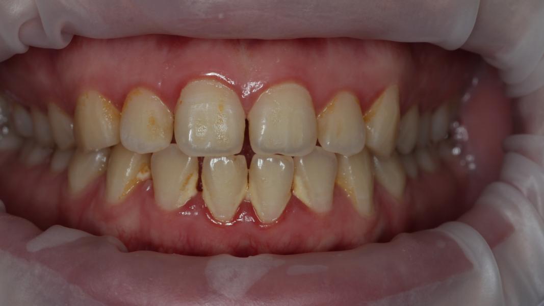
доброй ночи, подскажите пожалуйста, вот эти оранжевые пятна - это налет или кариес? у сына тоже есть, хоть и чищу
боюсь что в глубокий кариес перейдет
Здравствуйте
У нее именно налет)
Что у сына нужно увидеть )
Без консультации тяжело будет сказать
Сколько все обошлось ?🥹