

Еще работы вам в ленту🦷
В нашей клинике ультразвуковая стоит 3, а комбинированная 5
@mln18, к комбинированной добавляется чистка айр фло. Айр фло делаем если есть пигментированный налёт
@dogmara, есть рассрочка на пол года,половину суммы сразу оплачиваете ,а оставшуюся делим на пол года
@imanabbazova Тогда мне надо решиться и начать, а то останусь скоро без зубов
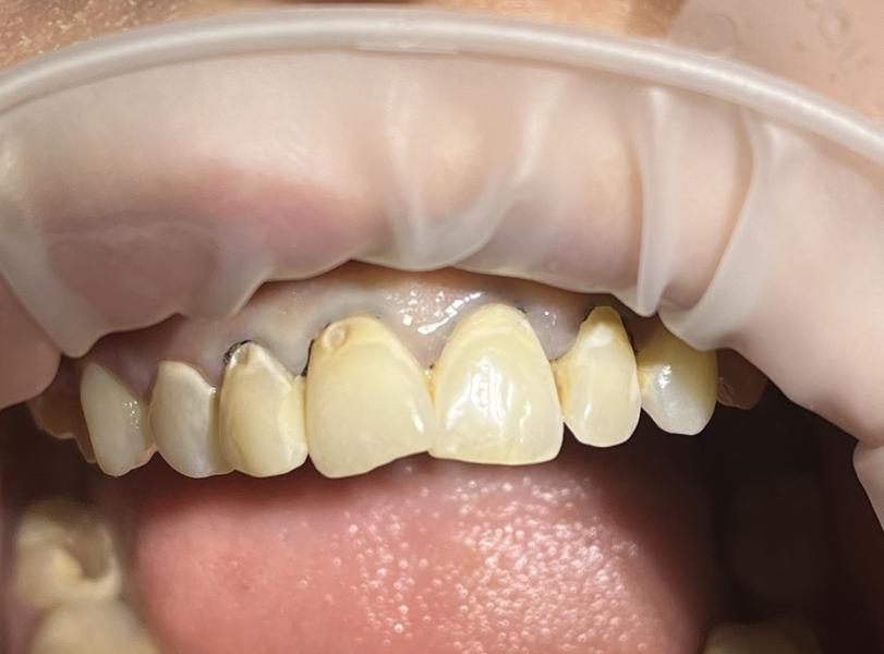
@imanarsamerzoeva, @din.don, это нити ретракционные,я их перед препарированием поставила,чтобы отодвинуть десну немного
где ты принимаешь?? препаривать до бохаг мух ду😂мне без ничего просто убирают будто зубы убирают хьа изош
@imanarsamerzoeva, чистка немного другая процедура,а это лечение зуба. У данной пациентки повреждена эмаль кариесом
@imanarsamerzoeva, @din.don, там нитки
А не скажете по какой причине у нее такие бледные десна на первой фотке ?
интересно по какой причине доходят зубы до такого состояния? цергш т1аьхь и шпаклевка йолш лела нах?
@imanarsamerzoeva, камень обычно образуется с внутренней стороны Зубов,из-за трудности очищения на данном участке
Ва почему доводят до такого.