



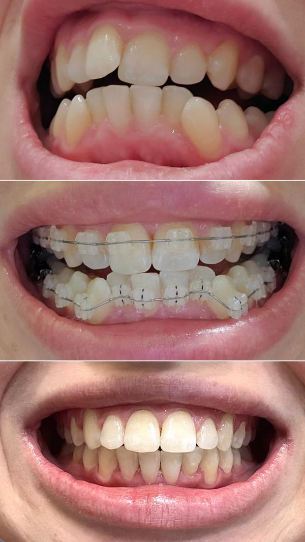
Сняла брекеты сегодня, юхуууу🥰☺️ кайфую от результата. Просто кто еще думает ставить или нет, посмотрите на это перевоплощение. Теперь у меня своя голивудская улыбка 🥰
Не видно совсем у вас кажется очень красиво. У меня перекос и нет симметрии нижней челюсти сильный а она говорит что его нет, но она сделает так как я скажу. Странно.🤔
Супер гарно, я ношу але незадоволена своїм лікарем через рік, шукаю хто в Києві може взятися за мене щоб не втратити ще один рік. Хто може порадити напишіть мені. Дяккю
У меня тоже есть нюансы которые мне не нравятся. И можно обратить внимание на фото на нижние зубы там где клыки соседний зуб по плыл. Ноо в целом однозначно лучше чем было 🤗
@daryna92, Ретейнеры обязательно !
Я бы ещё рекомендовала и капу на всякий случай. @podosochnaya, у меня случай был: ретейнер отклеился в одном месте ( кусала твердую пищу 🤦🏻♀️), и за день ( даже меньше) у меня появилась щель. А были мы в Греции тогда, пока врача нашли который хотя бы приклеил на место то, что уже получилось…(((
Потом снова отклеилось 🤪
И в итоге ещё потом не так быстро возвращали всё назад.
А была бы капа под рукой, то и щели бы не было.
Советую сделать капу, стоит недорого. Но подстраховка будет.
Как раз сегодня иду вечером к врачу за капой ☺️главное не забывать носить
Огоооо классно 😀