Анна
mendelevna
Анна·Мама двоих (1 год, 8 лет)

Как Богдан справился с пневмонией?

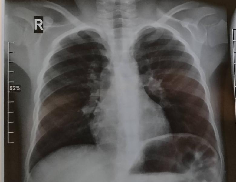
post image 1
post image 2

История болезни Богдана

Декабрь у нас что-то редко бывает без неприятностей.

Богдан с самого начала учебного года отлично держался без болезней (раз только были сопли на 2 дня), а тут его резко накрыло.

Началось все с сухого кашля в воскресенье. Кашель этот сначала ему особо даже не мешал. В понедельник я его оставила дома, но больше по причине того, что мне было неудобно его забирать из школы в тот день. Он отдыхал, собирался в школу во вторник. Однако к вечеру кашель усилился, мешал спать всем целую ночь. А утром во вторник я уже точно поняла, что он разболевается. Аппетит пропал, он стал вялым. При этом температура утром была 36,4. В 12 дня он пошёл спать, что точно означало, что его накрывает. В 14:00 температура была немногг выше 39С. Болела голова, горло и долбил этот сухой нескончаемый кашель.

В 15:30 где-то я решила, что надо его послушать. Какая-то тревожная мысль сидела у меня в голове. Возможно, чутье? Развитие болезни мне показалось странным. Я взяла фонендоскоп и прослушала его легкие. Сняла "уши" и села в некотором недоумении. Потом прослушала еще раз. Но нет, с пневмониями я работала очень много... Не признать ее я не могла. 3 день болезни, первый день высокой температуры. Это как-то странно.

Но в ушах своих я была уверена. Позвонила мужу и сказала, что слышу пневмонию справа. Он сказал, что выезжает с работы, а сам тем временем вызовет скорую. Чтобы подтвердить или опровергнуть мои предложения - нужен рентген... Скорая приехала практически вместе в мужем. Врач очень скептически отнесся к моему предположению насчет пневмонии из-за сроков болезни. Но послушав, тоже предположил воспаление справа. Я в какой-то прострации собрала вещи сына и мужа и проводила их, оставшись одна с малышом.

В Тушинской больнице на рентгене подтвердили пневмонию, да еще и с "бонусом" в виде воздуха в средостении (на счастье, в небольшом количестве). Муж решил остаться лечить его там...

Высокая температура сохранялась до пятницы. Больше всего Богдан жаловался на мучительный сухой кашель. Он из-за него даже говорить не мог иногда. А разок закашлялся даже до рвоты.

В анализах пришел бокавирус, но мне и врачам в больнице было очевидно, что это не он сам такое вызвал. Этот вирус обычно садится сверху на что-то. Пришли огромные титры антител к ковиду (больше 2,5 тыс), из-за чего предположили виновником все же его, хотя мазки были отрицательные.

С пятницы температура уже выше 38 не повышалась, в субботу была 37,3. Но мы решили, что пора его забирать домой. Особенно услышав интересные методы лечения 🙉

Ко всяким арбидолам и галавитам в больницах я привыкла)) Муж просто без споров выкидывал их и всё)

Но тут было другое. Из-за решения уйти под расписку до окончания лечения, Богдану решили повторить рентген (он как раз на картинке). Там увидели ателектаз верхней доли справа и... Предложили провести санационную бронхоскопию 🙈

Это такая процедура, которая проводится под наркозом. Запихивают в бронхи трубку и отсасывают мокроту...

Вот только зачем... Температура на тот момент приходила в норму, дыхательной недостаточности у него не было.

Хорошо, что у меня есть с кем проконсультироваться) Я конечно врач, но в моменты болезни своих детей, я всегда прошу еще мнения, т.к хорошо чувствую, что теряю объективность 😅 Мои два знакомых доктора, которые хорошо знают эту тему, подтвердили мои сомнения, что нет надобности в этой манипуляции. Поэтому муж написал расписку и тогда же в субботу они вернулись домой.

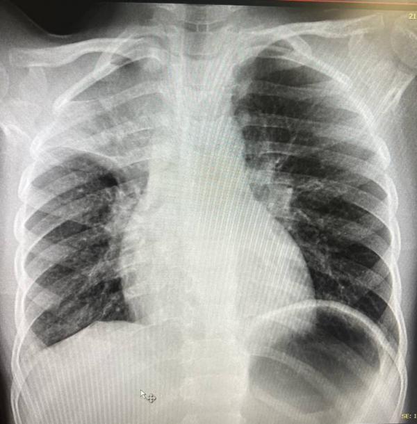
Вчера (спустя неделю) мы сходили еще разок на рентген - динамика хорошая))

Богдан только пропустил все праздники, кружки и т.п, эх.

Но зато я увидела как он повзрослел! Иногда просто не верится, что это мой малыш... Никаких криков и слез на все уколы, пил все лекарства как нужно. Короче, очень достойно прошёл это испытание.

#заметкипробогдана

29.12.2024
6

Комментарии

lucky321
Lucky123·Мама двоих (младенец)

Как у вас дела? У нас тоже нашои инфильтрацию и ателектаз, назначили клацид. Но госпитализацию не предложили. Не знаю что делать(

14.02.2025 Нравится Ответить
lucky321
Lucky123·Мама двоих (младенец)

@mendelevna а у вас в схеме один антибиотик был? Нам вот клацид и пкльмикорт назначили. этого не мало?

14.02.2025 Нравится Ответить
mendelevna
Анна·Мама двоих (1 год, 8 лет)

@lucky9119 два. Ещё Зиннат шел. Но каждый случай индивидуален, тут сложно сказать... Я вот думаю, что не нужно было два антибиотика, но их в больнице начали, поэтому мы решили уже курс закончить

14.02.2025 Нравится Ответить
lucky321
Lucky123·Мама двоих (младенец)

@mendelevna я просто часто слышу что при пневмонии несколько антибиотиков назначают. А у нас по снимку ателекатаз с1 левого легкого и инфильтративный очаг с5 правого легкого и всего 1 антибиотик. Поэтому есть сомнения(

14.02.2025 Нравится Ответить
olga967

Арбидол да, но может и когда-то работал конечно. Но в период коронавируса, этот препарат был бесполезен. Нам хорошо помогал интерферон альфа 2 б с температурой с антиоксидантами, ставили в больших дозировках и температура ушла

04.01.2025 Нравится Ответить
kyalochka
Tatiana·Мама четверых детей
стикер
29.12.2024 Нравится Ответить
kyalochka
Tatiana·Мама четверых детей

@mendelevna ого, пусть в следующем году, обойдет строной! А на снимках, мне кажется, все одинаково, как понять по снимку, что пневмония есть?

29.12.2024 Нравится Ответить
mendelevna
Анна·Мама двоих (1 год, 8 лет)
стикер
29.12.2024 Нравится Ответить
kyalochka
Tatiana·Мама четверых детей

@mendelevna ага, поняла, спасибо большое) я то все думаю, вдруг неправильно расшифровали, хотя быть не может, но все таки.. Сейчас у всех почти пневмония..

29.12.2024 Нравится Ответить