
Девочки сос!!!
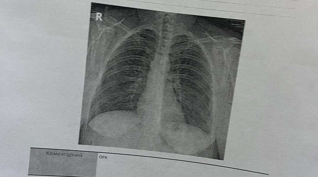
Три разных врача и 2 разных мнения. Может кто умеет читать рентгены. Видно пневмонию?
По анализу крови воспаления нет
Температуры нет и не было



@annamirag0610, корень легкого особенно справа структурный , нижняя доля правого легкого не видна хорошо. Неявное что-то. Может просто по типу бронхита.
Лучше уж распечатайте снимок жесткий на пленке и можете непосредственно к врачу другому идти за еще одним мнением, а тут - так себе…
@annamirag0610, если доктор по бумаге рентген оценил, значит он очень смелый!😅однозначно не сказать конечно.
Я бы тоже сказала больше данных за бронхит, возможно. Очагов и инфильтрации действительно не видно на первый взгляд.
Но не уверена, повторюсь, снимок на бумаге +экран телефона…
Смею вас заверить, что доктора - рентгенологи, которые выдали вам заключенияе по 100 раз на дню описывают данные снимки и глаз у них очень наметан!
На бумаге… Рентген. Такое себе.