Анастасия
dr.poliakova_a
Анастасия

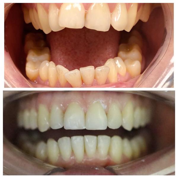
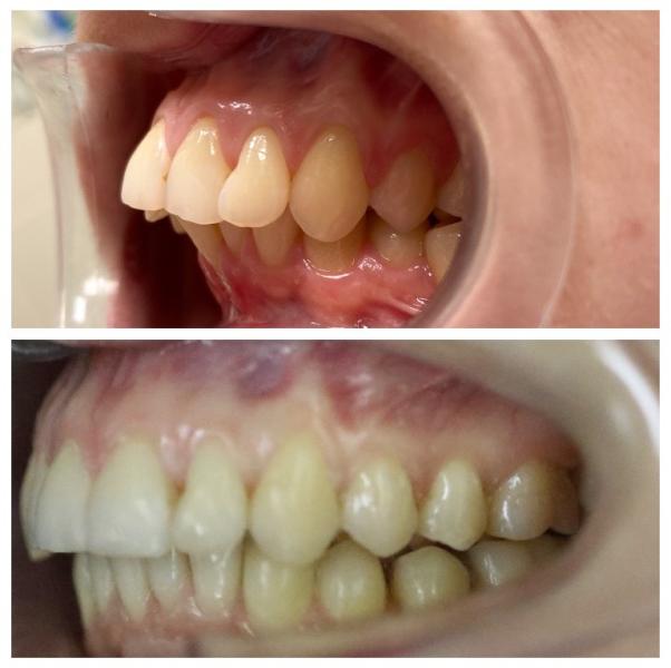
Как я исправила прикус за 2 года? История с элайнерами

post image 1
post image 2
post image 3
post image 3
post image 4
post image 5
+2

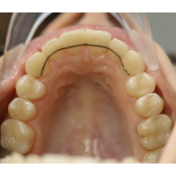
Делюсь сложным кейсом лечения на элайнерах длиной в 2 года и 1 месяц.

Потребовалось удаление всех восьмерок и терпение пациента к улыбке своей мечты. Мы очень довольны результатом.

06.09.2024
9

Комментарии

kalmykovaolga1972
Ольга·Мама четверых детей

Отличный результат! Прикус полностью изменился..

06.09.2024 Нравится Ответить
dr.poliakova_a

Спасибо за Ваш комментарий 🤍

06.09.2024 Нравится Ответить