Π’Π²ΠΎΠΉ Π‘Ρ‚ΠΎΠΌΠ°Ρ‚ΠΎΠ»ΠΎΠ³ 🦷
dr.zub
Π’Π²ΠΎΠΉ Π‘Ρ‚ΠΎΠΌΠ°Ρ‚ΠΎΠ»ΠΎΠ³ 🦷 ·Мама сына (3 Π³ΠΎΠ΄Π°), Π±Π΅Ρ€Π΅ΠΌΠ΅Π½Π½Π° (26 Π½Π΅Π΄.)
post image

🀝 Π‘Π²ΠΎΠ±ΠΎΠ΄Π½Ρ‹Π΅ окошки Ρ‡Ρ‚-вск

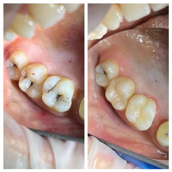
Π’ ΠΊΠΎΠΌΠΌΠ°Ρ… фиксация Π²Ρ‡Π΅Ρ€Π°ΡˆΠ½Π΅ΠΉ Ρ†ΠΈΡ€ΠΊΠΎΠ½Π΅Π²ΠΎΠΉ ΠΊΠΎΡ€ΠΎΠ½ΠΊΠΈ

2

ΠšΠΎΠΌΠΌΠ΅Π½Ρ‚Π°Ρ€ΠΈΠΈ

giovanna.
Sarkasmus provayder ·Мама Ρ‚Ρ€ΠΎΠΈΡ… Π΄Π΅Ρ‚Π΅ΠΉ

Как Ρ€ΠΎΠ΄Π½ΠΎΠΉ))) πŸ‘Œ

Нравится ΠžΡ‚Π²Π΅Ρ‚ΠΈΡ‚ΡŒ
dr.zub
Π’Π²ΠΎΠΉ Π‘Ρ‚ΠΎΠΌΠ°Ρ‚ΠΎΠ»ΠΎΠ³ 🦷 ·Мама сына (3 Π³ΠΎΠ΄Π°), Π±Π΅Ρ€Π΅ΠΌΠ΅Π½Π½Π° (26 Π½Π΅Π΄.)
стикСр
Нравится ΠžΡ‚Π²Π΅Ρ‚ΠΈΡ‚ΡŒ