Твой Стоматолог 🦷
dr.zub
Твой Стоматолог 🦷 ·Мама двоих (1 год, 4 года)
post image 1
post image 2
post image 3

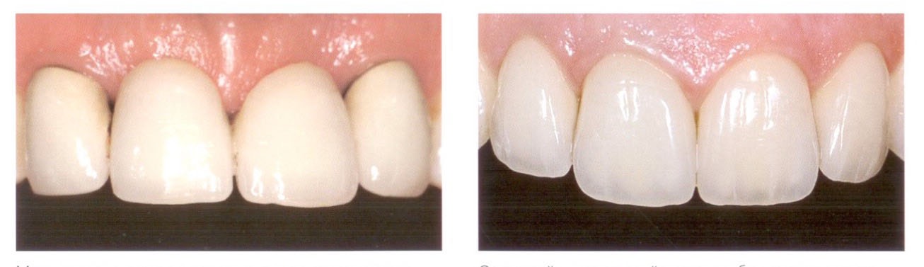
Металлокерамика vs Циркон 😏

26.08.2024
4

Комментарии

nastya0293
Анастасия ·Мама двоих (2 года, 4 года)

Разница в цене какая? Срок службы циркона?

26.08.2024 Нравится Ответить
dr.zub
Твой Стоматолог 🦷 ·Мама двоих (1 год, 4 года)

Мк 6т, циркон 14т , циркон самый надежный материал

26.08.2024 Нравится Ответить