
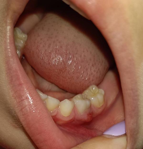
Девочки, доброе утро, что это такое на десне? Подскажите пожалуста)



@ket95, нет, позвонили знакомому стоматологу она сказала так делать..
Ого, не нам только удалять сказали, под молочным зубом зачаток кроенного.
В панде лечили, и не вылечили и пришлось после них удалять зуб?
Кстати первый удаляли как раз в панде, хирург мне понравился, оборудование для рентгена ручной прям в кресле делают и на один зуб. А второй удаляли в динозубрике, под маской, перед этим панорамный снимок, после удаления хирург зашил десну .
@ket95, в панде лечили каждый зуб в два этапа. Лечили год назад. Ребёнок беспокойно сидел. Врач торопился. И после лечения от лекарства зубы розовели.
Деваться было не куда, пришлось под маской лечить в динозубрике . Лечение зуба в один этап.
Стамотофит спрей, цена конечно кусается, но дочке и всей семье помогает очень. Снимает воспаление очень быстро прям. Флюс убрал за 2 дня. Опухоль на Десне так же быстро и легко. Не противный на вкус.
А у него противопоказание до 12 лет... Вы в 3 годика прыскаете?
@ket95 делаю один брызг дочери, педиатр сказала один брызг можно
У меня уже годам к 10 был, я побоялась в отпуске сказать родителям и ножницами маникюрными резанула, у меня назревший был, ниче, жива и здорова 🤣
Я себе тоже постоянно прокалывала) только уже не в детстве 🤣
У дочери был, но нам говорили, если не болит, не удалять. Воспаление снимали содовыми полосканиями
@sadykova_stom @nika0712 девочки, посоветуйте хорошего стоматолога хирурга я так понимаю...
Мы в панду ходим. Очень нравится там и мне и детям. Сначала вам к стоматологу на снимок, она дальше направит вас, заодно и все зубки проверит
Это формируется свищ. Воспалительный процесс на корнях 4-ки — периодонтит. К стоматологу на снимок и вероятно удаление этого зуба
Свищ. Означает, что внутри зуба воспалительный процесс! Зуб обычно под удаление
У меня недавно пост был. Мы пока полосканием лечим теплым даже немного горячим с ромашкой и содой, стало меньше.