Добрый день! Девочки подскажите где смотреть очередь в детский садик?






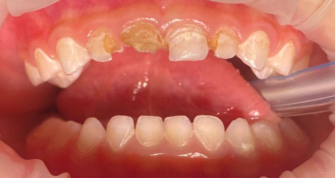
Хочу поделиться с вами огромной радостью. Мы наконец-то отреставрировали моей девочке зубки. Ура. Как я долго этого ждала. Восстановили 4 верхних передних зуба убрали кариес на ранних сроках. И вкруговую установили пломбу вокруг всех зубов для предотвращения кариеса. Долго и нервно готовились, подбирали безопасную клинику( dentart.kz жамбыла 155 корпус 1) , искали подходящего стоматолога (нашли по рекомендации от девочки из чата стоматолог Земфира Сулейманова, понравилась как специалист и...
У кого как 1 января прошло?))
У нас с мужем трындец был 🤦🏼♀️
31 декабря в 23:00 мы уже спали. Не пили!
1 января проснулись и он говорит что его всю ночь тошнило. Мне по началу было нормально. Уложила малую спать на дневной сон, уснули все вместе и после дневного сна у меня начался ПИСЕЦ.
Через каждые 15-20 минут я 💩
А потом меня начало рвать. И просто с 16:00 и до ночи я что и делала то это 💩 и блевала. Что сожрали не понятно 🤦🏼♀️😭
Муж лежал с температцрой, а меня полоскало. Самое хреновое, когда ты ...



Девушки всех с наступившим!💫 Расскажите пожалуйста у Вас часто бывает желание круто изменить свою жизнь? У меня вот частенько такие мысли🙈 Кажется что просто существую, а настоящая жизнь проходит мимо, хочется перемен, нового интереса в жизни! Расскажите если вы решались круто изменить жизнь, неважно будь то переезд или развод, смена работы? Как это повлияло на вашу жизнь? Жалеете или нет, честно? Вот я например очень хочу свой дом, но для этого нам надо продать нашу трешку, закрыть половиной эт...
Смысла в этом нет. Не ждите. Если встали в очередь, подайте заявление о предоставлении места в нужном вам саду с нужной вам даты в приёмную отдела управления образования под отметку в двух экземплярах. Ответить обязаны в течение месяца