
Разрешите влезть в ваш разговорчик 😂 примерно так выглядят непрошенные советы не по теме поста в прегги😅
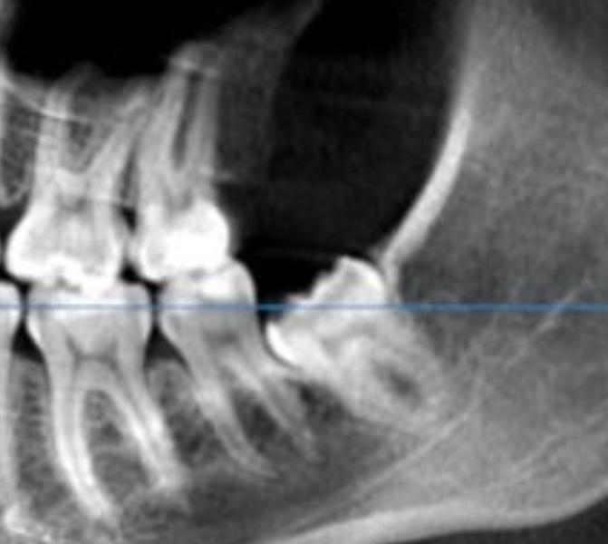
Подскажите, как удаляли нижних восьмерок? Пошла сделать КТ и мне сказали, что удалять надо все 3 оставшиеся восьмерки. Если к верхнему претензий нет, то нижние напрягают. Один прикрыт костью скраю и болит при жевании. Видимо пилить придется.. Засранец конкретно с фото вообще никак не беспокоит, но сказали, что надо убирать. Точно ли есть смысл?
И еще, удалили бы 2 сразу на 1 стороне?



Удалить только то, что беспокоит сейчас, пока вы на ГВ, анестезию только определенную вам можно. После окончания ГВ уже решать с остальными. У меня вообще 8 оставили, удалили 6-ки, потому что они все уже были депульпированы и восстановлены, а 8 здоровые и все сдвинули брекетами и все прекрасно стоит, т.ч. вот это мнение что зубы мудрости, какие-то дефектные и долго не стоят, не верю.
Ну тот что вылез уже весь в кариесе, тут без вариантов. А нижний один - болит тупо десна при жевании.
Почти как у вас ситуация. Пошла зуб лечить. Врач осмотрел сказала сделать снимок, не нравятся как зубы мудрости стоят. Сделала, надо вырывать. Три простых, один нижний сложный. Первый раз один вырвали, что бы посмотреть как пойдет ( заживление, как на обезбол отреагирую). Потом нижний на этой же стороне вырвала. Как одна сторона зажила, так с другой стороны где сложный зуб, сразу и верх и низ вырвала. Нижний пилили, зашивали, антибиотики пила. Боли не было, зажило все быстро и хорошо 👌🏼 больше боялась 😅
2 сразу бы не удаляла
Неизвестно как поведет себя один
Удаляла нижнию 8 лежачую, 10 дней все болело,
Я свои такие удалила😉😉 если на одной стороне и сами выдержите то можно и за раз😉
Такой удалять, он давит на семерку. Удалить можно два одновременно, но только на одной стороне нижний и верхний)) у самой нижние так лежат. Верхние удаляла в гос поликлинике, где это на поток поставлено. 10 мин зуба нет, но это верхние, их легче. С нижними тоже пойду в факультетские, у них такое на дню по 10 раз дергают.
Удаляю восьмёрки у Селянина в преображенском.
Две сразу удалять бы не стала, потому что боюсь сильно и потому что отёк может быть после нижней. Я бы морально не перенесла два удаления в один день 😅 на каждое годами настраиваюсь. Осталась одна 🤞
А в какой он клинике? У меня свой хирург есть, но к нему запись за месяц 😅
@lisonkalisa его клиника, так и называется доктор Селянин
Ох и у меня мудрец так лежит, одна треть вылезла и все, остальное под десной. Периодически давит на соседа, ноет, потом проходит. Удалять боюсь жесть.
Я если не беспокоит ,то не удаляла.Как вижу что портится -удаляю.
Нижний да,лучше убрать вам
Удалять, чтоб семерка не начала беспокоить.
У всех по разному проходит восстановление. Я 2 недели на обезболах была. С опухшей щекой и синяком.
У меня ещё и ГВ 🙈 вот не знаю может нижние перетерпеть до лета.
Мой первый зуб мудрости простоял 22 года, испортился внутри, удалила. Тоже говорили срочно удалять, не поместится.
Тот, что на фото, будет лезть и сдвинет передние зубы, как у меня это случилось🥲 Ровные зубы были, а стали нет(
@ksenia_m а после удаления не вернулись в ряд?? Я когда верхний удалила, у меня семёрка ровно встала, а то тоже вбок была
@lisonkalisa, неа, даже скол на эмали появился на переднем зубе
@ksenia_m вот у меня на внутренней части тоже скол был, год назад делала его. Внешне вроде все зубы ровные...заделали. Потом беременность .. А теперь подозреваю, что давление есть все таки на зуб. Теперь надо ремонтировать, но как теперь на ГВ это делать 🥲
У золовки подобно было, удалила сразу все. Ну, конечно, спустя время удаляла каждый)) один зажил, удалила следующий. Визуально некрасиво становятся в будущем зубы, смещаются...
У мужа вообще горизонтально лежал зуб мудрости. Записался на мичурина платно а стоматологию. Там разрезали десну вытащили зуб зашили десну и потом ездил на осмотр и снятие швов. За все отдал 1000 рублей)
Удалила бы только тот, что беспокоит, обычно остальные нормально стоят и учавствуют в жевании, даже если криво🙂
Они все под десной скрыты 🤪 поэтому жевать не помогают. А когда на десну придавлю еду нечаянно, больно..
А тот который не болит, тоже под десной. Но вот думаю не испортит ли он соседа, или мне жути нагнали
@lisonkalisa вот кстати, про соседа. Я свой долго не удаляла и у меня он начал портить корни соседнего зуба. Теперь скорее всего надо будет этот зуб удалять и ставить имплант, потому что при нажатии или любом воздействии зуб болит сильно. Теперь надо решиться на эту процелуру😣
У меня он вообще горизонтально лежал и совсем чуть-чуть торчал снаружи😵💫
Обратитесь к толковому хирургу.
Мне очень помог Бородин( надеюсь правильно запомнила фамилию) в стамотолигии на Родине. Вот он вам точно скажет стоит/не стоит удалять.
Сделал мне мини-операцию и даже сильного отёка не было и пилить не пришлось. Просто идеально всё прошло.
Если верхний простой, то удалила бы сразу два. У меня все 4 такие были, удаляла по очереди.
@lisonkalisa, нижний будет посложнее.
Главное это идти в хорошую клинику платную и к мужчине .10-20 мин и готово
Боли нет никакой ,ставят 2-3 вида анестезии ,просто ощущаешь давление и кажется ,что сейчас челюсть сломается ,но это всего лишь страхи .
@veranika555 а что, есть опыт, женщины не умеют? 😅 У нас есть семейный хирург, надеюсь дождусь его, ещё 3 недели осталось, очереди к нему 🙈
@lisonkalisa, конечно,многие женщины не обладают таким навыком
Мне разом под общим наркозом все 4 удаляли. Лежала в бсмп. Сказали, что у меня не зубы, а бивни. Они полностью в десне лежали горизонтально, их выпиливали по частям 😅
Все прошло хорошо, восстановилась меньше чем за неделю. Но поначалу отек был жесть, конечно)