Татьяна
11295tab2016
Татьяна ·Мама двоих (2 года, 2 года)

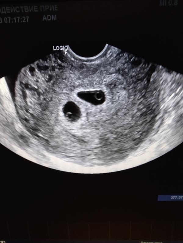
УЗИ на 22 дпп: двойня?

post image

Пополню ленту хорошими новостями 🙂 22 дпп УЗИ, наши две пуговки😍🥰 сб есть, по узи срок 5недель и 5 дней, по месячным 6 и 1. Оставляю для истории фото малышей

01.04.2023
100

Комментарии

u_ekaterina
Ulyanova_ekaterina·Мама двоих (1 год, 9 лет)

Красота 🥹🖤

02.04.2023 Нравится Ответить
11295tab2016
Татьяна ·Мама двоих (2 года, 2 года)

Спасибо ☺

02.04.2023 Нравится Ответить
lalafafa
Наталья·Мама двоих (1 год, 4 года)

Легкой беременности мамочке🌺

01.04.2023 Нравится Ответить
11295tab2016
Татьяна ·Мама двоих (2 года, 2 года)

Спасибо ☺

02.04.2023 Нравится Ответить
lina-83.2011
Мария·Мама дочки (4 года)

😍 поздравляю с таким счастьем ☺️ а вам один эмбриончик переносили или два ?

01.04.2023 Нравится Ответить
11295tab2016
Татьяна ·Мама двоих (2 года, 2 года)

Спасибо ☺ двоих

02.04.2023 Нравится Ответить
mell3
Mell·Мама двоих (8 лет, 15 лет)

Поздравляю вас с двойным счастьем. 🌺🤗

01.04.2023 Нравится Ответить
11295tab2016
Татьяна ·Мама двоих (2 года, 2 года)

Да уж точно двойное счастье ☺спасибо

02.04.2023 Нравится Ответить
nastushka97
Анастасия ·Мама сына (1 год)

Красота🥰 очень за вас рада🤗

01.04.2023 Нравится Ответить
julycherry
Юлия ·Мама дочки (1 год)

Какая красота 😍 легкой вам беременности 🥰🤞🌷

01.04.2023 Нравится Ответить
11295tab2016
Татьяна ·Мама двоих (2 года, 2 года)

Спасибо ☺

02.04.2023 Нравится Ответить
oksik_koksik
Оксана·Мама троих детей

Какое счастье 🎊🎊🎊 поздравляю вас от всей души ♥️

01.04.2023 Нравится Ответить
11295tab2016
Татьяна ·Мама двоих (2 года, 2 года)

Спасибо 😊

02.04.2023 Нравится Ответить
kisses

Растите большими и здоровенькими

01.04.2023 Нравится Ответить
11295tab2016
Татьяна ·Мама двоих (2 года, 2 года)

Спасибо ☺

01.04.2023 Нравится Ответить
anya2024
Анна·Мама дочки-младенца

Красота 😻 легкой беременности ☺️

01.04.2023 Нравится Ответить
11295tab2016
Татьяна ·Мама двоих (2 года, 2 года)

Спасибо ☺

01.04.2023 Нравится Ответить
mmmadina05

Какое счастье 😍 поздравляю . Легкой и здоровой беременности

01.04.2023 Нравится Ответить
11295tab2016
Татьяна ·Мама двоих (2 года, 2 года)

Спасибо 😊

01.04.2023 Нравится Ответить