
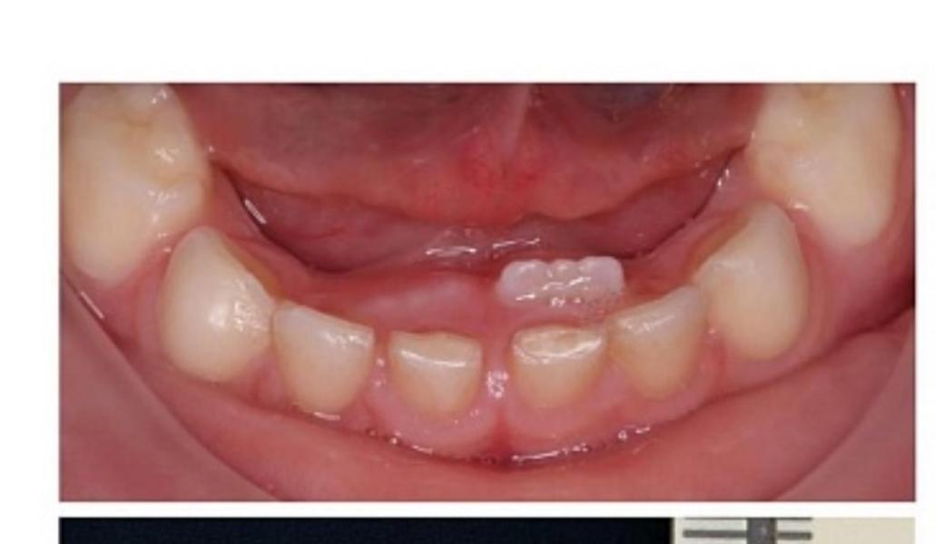
Девочки, у дочки вылез коренной зуб, а молочный на месте, шатается, но не сильно. Надо удалять идти молочный или подождать можно недельку и пытаться самим раскачать его?
фото из интернета для примера.
что то я не ожидала такого😬



У сына так было, за неделю раскачали и выпал молочный. В течение месяца коренной встал на место.
Мы удалять ходили. Раз и дёрнули, ледокаином пшикнула,дочь и не заметила
Ээх,почему природа не предусмотрела третью смену зубков!)))) Лет в 40-50))))
@fraumartaa ну да,все как в омс- первые два зуба бесплатно,третий- за полную стоимость)))
Нуууу)) люди таки взяли этот вопрос в свои руки. Дороговато ток... 🤣
Сходите к врачу на консультацию. Нам сказали, если за неделю не выпадет, то удалять. Раскачал)
@iolgamerk, так пальцем и раскачивали) заставляла, почему нет?
@iolgamerk с такими зубками без записи, по экстренному и к хирургу сразу
Удалять. Чем быстрее, тем лучше. Если второй на подходе и второй удалить молочный
Удаляли первый зуб в тонусе за 2000, а второй в районной стоматологии бесплатно. Прекрасно все прошло. Но корень второго зуба был огромный, точно бы сам не выпал…
Удаляла дочке, было также, как на картинке. Сам бы зуб не выпал, задняя стенка рассосалась, а передняя очень длинная была и плотно сидела. За месяц зуб встал на место. Второй зуб сразу удалили, тк не шатался вообще, а новый уже практически прорезался. Сейчас уже растёт и двигается на место.
Вот только что 2 зуба удаляли,один шатался,другой нет
Мне в детстве не удалили, в итоге искривление...лучше бы удалили...
мне клыки удаляли, зубы спустились и стали ровные. а так тоже ходила, как акула в два ряда)))
@iolgamerk вот, у меня тоже как раз клык не ровно был.
Мои мальчишки так же ходили, как акулы. Везла удалять по экстренному. Потом зубику сложно на место встать. Надо будет языком его толкать на место.
спасибо. значит пойдём удалять, я думала, неделю можно попытаться расшатать)))
Тоже самое было только, расшатывали, но хорошо удалить, чтоб быстрее на своё место встал
е моё 🙈 он за неделю сильно вылезет? или прям срочно бежать?
просто пальцем? языком она сама не может пока, не сильно качается.
@iolgamerk у нас качался нормально, языком и пальчиком, я хотела сначала удалить, но стоимость за один молочный зуб мне от 2-х тысяч озвучили, а у него так два внезапно выросли одновременно, и чего то мне жалко стало денег😁
@zmeyka мы два кариеса на молочных вылечили за 6. надеялась, что удаление хотя бы в районе 1000-1500)))
Ээх,почему природа не предусмотрела третью смену зубков!)))) Лет в 40-50))))