Доброго дня всем 🤗Нужны ваши отзывы🙏Был ли кто на узи у Ломтевой Маргариты Николаевны в поликлиникеМедАрт?И гинеколог Гульзада Шавкатбековна,поликлиника Раимажанова?Если кто сталкивался отпишитесь пожалуйста




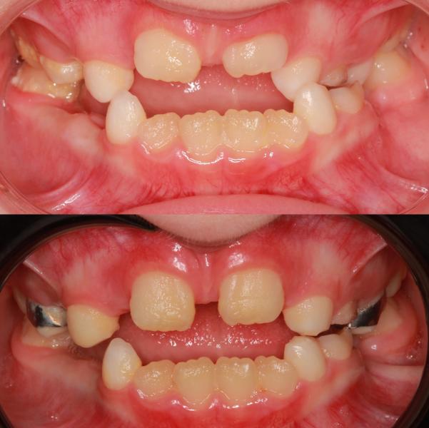
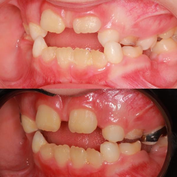
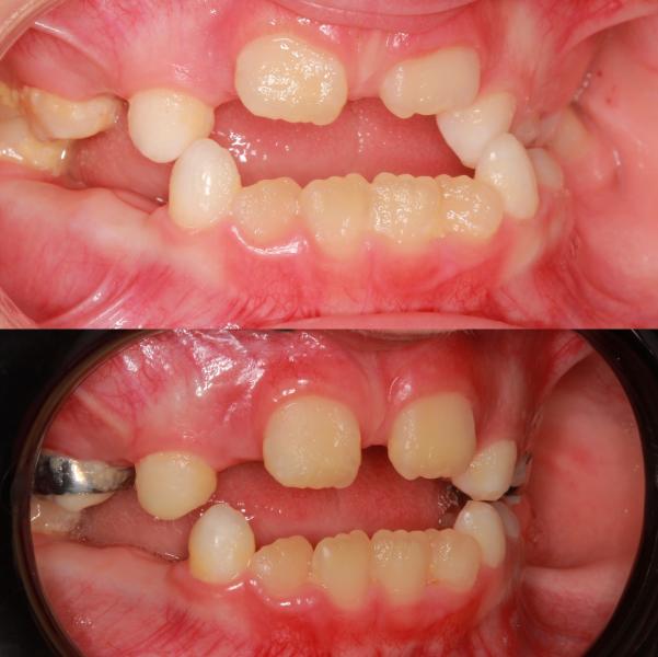
Как то раз я уже писала о том, что ортодонтия способна изменить жизнь ребёнка в лучшую сторону .
Хочу на очередном примере показать за что я люблю лечить детей и насколько можно улучшить качество жизни ребёнка.
Ребёнок 👧🏼 А 7,5 годиков 🐥😹.
Жалобы родителей «Зубы не прорезываются, неправильный прикус, ассиметрия нижней челюсти».
Лечение решила проводить на несъёмной технике с помощью аппарата #маркоросса
Какие изменения мы получили в ходе расширения верхней челюсти ?
🦷Устранили обратное пер...
Как понять что малышу хватает молочко ? Соски потресканные, с молокоотсосом будет ли больно ? Думала проверю сколько мл смогу сцедить, она ест грудь минут 20-30 и снова ищет через минуту грудь, даю соску как соска упадёт истерика сосет ее так будто щас отнимут, а когда докормила смесью спала сладко и долго, высосет грудь и ещё сверху может съесть 60-90 мл это на ночь только даю, сеголня Медсестра приходила и говорит что мы большие будем выглядеть как 3 месячный ребёнок, но педиатр ничего такого ...

Девочки, подскажите, пожалуйста, вот прям любые идеи, которые придут вам в голову🙏
У старшего довольно долго рыхлое и красное горло. Иногда уходит в спящую фазу и перестаёт быть красным, но рыхлое почти всегда. Участковый врач только постоянно говорит: горло у вас рыхлое. На мой вопрос, как сделать его не рыхлым, говорит: ну побрызгайте мирамистином. В общем за год этой фразы - мирамистин мимо, любые другие пшикалки (гексорал, тантум-верде, хлорофиллипт, облепиховое масло) всё мимо, от отофага б...