



⚠️Лечение зубов под наркозом⚠️или почему 2 месяца-это я уже затянула.
Начнем с того,что сначала эмаль потемнела. Грешила на то,что я чищу сыну плохо зубы(я еще, дура, содой хотела тирануть🤦♀️),позже это дело все соскалываться начало. Ребенок уже с боем давался ,чтобы просто заглянуть в рот или почистить зубки. Я не знаю, девчат, задавайте вопросы. Лечили в стоматологии Шлепковых.Вместо 5 кариесов нам целый рот их нашли. Сумма конечно большая вышла, на 7 тысяч не хватило, оперативно занимали.
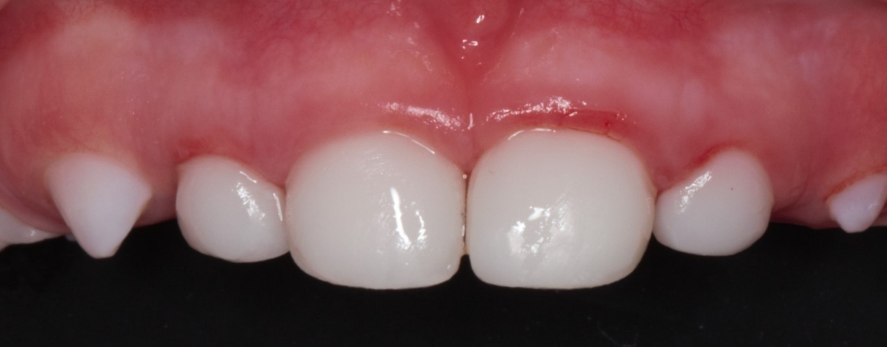
Фото до-это уже в процессе(кому интересно кину прям начальный вариант, таи лялик 1,5 суток не давал с истерикой чистить)Ну и результат-сами видите.
Так-с, про наркоз, Севоран, как закончили лечить,зашла врач в комнату,сказала, что через 10 минут принесут. Занесли ребенка, он улегся на живот, минут 7 поспал, потом начал плакать, взял грудь(шатало еще минут 10). Через 20 минут после лечения ребенок уплетал картошечку(мы с собой притащили, в больнице мороженое предложили, сын не стал его есть). Короче, пока ехали в Анапу домой, ребенок на титьке(пардон) спал. Сейчас немного капризульничает, но ведет себя,как всегда
Да) любимую еду, сразу с собой возьмите😊
Спасибо за пост. Сколько по времени лечили зубы (был под наркозом сколько?) насколько это опасно?
2,5 часа под наркозом. Насколько опасно, не мне об этом говорить. Мы для себя выбор сделали и Ттт все в порядке
Сколько вы отдали и что вам делали?
А почему так испортились зубы, есть причина? Вроде только вылезли. И витамин д давали,так,для статистики? Он говорят хорошо профилактирует
Сама эмаль плохая уже с беременности. Витамин д проверяю, он у нас и так в порядке всегда был. Плюс, видимо сама виновата, что с первых зубов в клинику на проверку не ходила
@privet_privet не нужно себя винить! Это гипоплазия и гигиена тут не при чём. Вы молодцы, что залечили. Поздравляю вас со здоровыми зубками🌷
Я пишу, как не знаю кто. Надеюсь, смысл понятен)
можно кушать и пить сразу после севорана?