

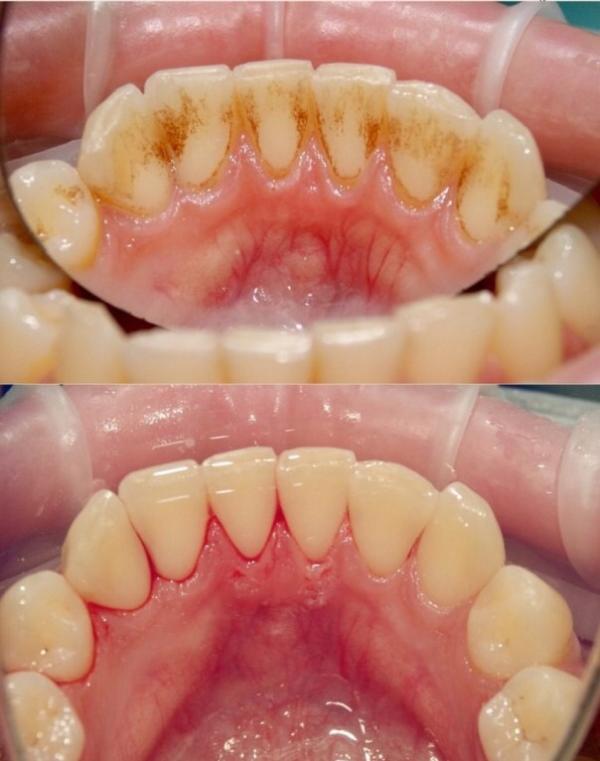
Провожу профессиональную гигиену полости рта и отбеливание зубов .



@dinamers расскажите пжста как все проходит я ужасно боюсь некоторые зубы чувствительные очень можно в л\с
Здравствуйте Динара,это предложение ещё актуально?
Девочки , муж был на чистке, мы очень довольны👍Динара все тщательно очень убрала👌В скором времени сама собираюсь☺️
@tatiana1986, сейчас подробно напишу вам , у вас пока для меня профиль закрыт