
Здравствуйте, девушки!
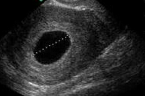
Была вчера на приёме у врача, сделали УЗИ, показало плодное яйцо без эмбриона.
Врач посоветовала подождать 10дней, может ошиблись с датой зачатия, и эмбрион появится
Первый раз сталкиваюсь с таким, может кто-то знает чего ожидать?



У меня так было, если через пару недель все так же- это анэмбриония ((( все как при беременности но без плода! Делают чистку☝☝☝ само не выйдет!
В такой ситуации только ждать, и если пусто, то оно само по себе выйдет, самоочистка
@lenochka054 беременности есть точно вот только какая (((
@leon24olga88 дай Бог, просто в такой ситуации, незнаешь что делать, идти на чистку или ждать, беременна или нет, напрягает очень
@lenochka054 дай бог что бы все было хорошо
@leon24olga88 Если честно, незнаю, буду ждать 10 дней, а потом схожу к другому врачу
@lenochka054 ну вообще в 7 недель уже сердечко слышно !!может поздняя овуляция у Вас
@lenochka054, все будет хорошо